Please confirm topic selection

Are you sure you want to trigger topic in your Anconeus AI algorithm?

Please confirm action

You are done for today with this topic.

Would you like to start learning session with this topic items scheduled for future?

Review Question - QID 221313

In scope icon N/A
QID 221313 (Type "221313" in App Search)
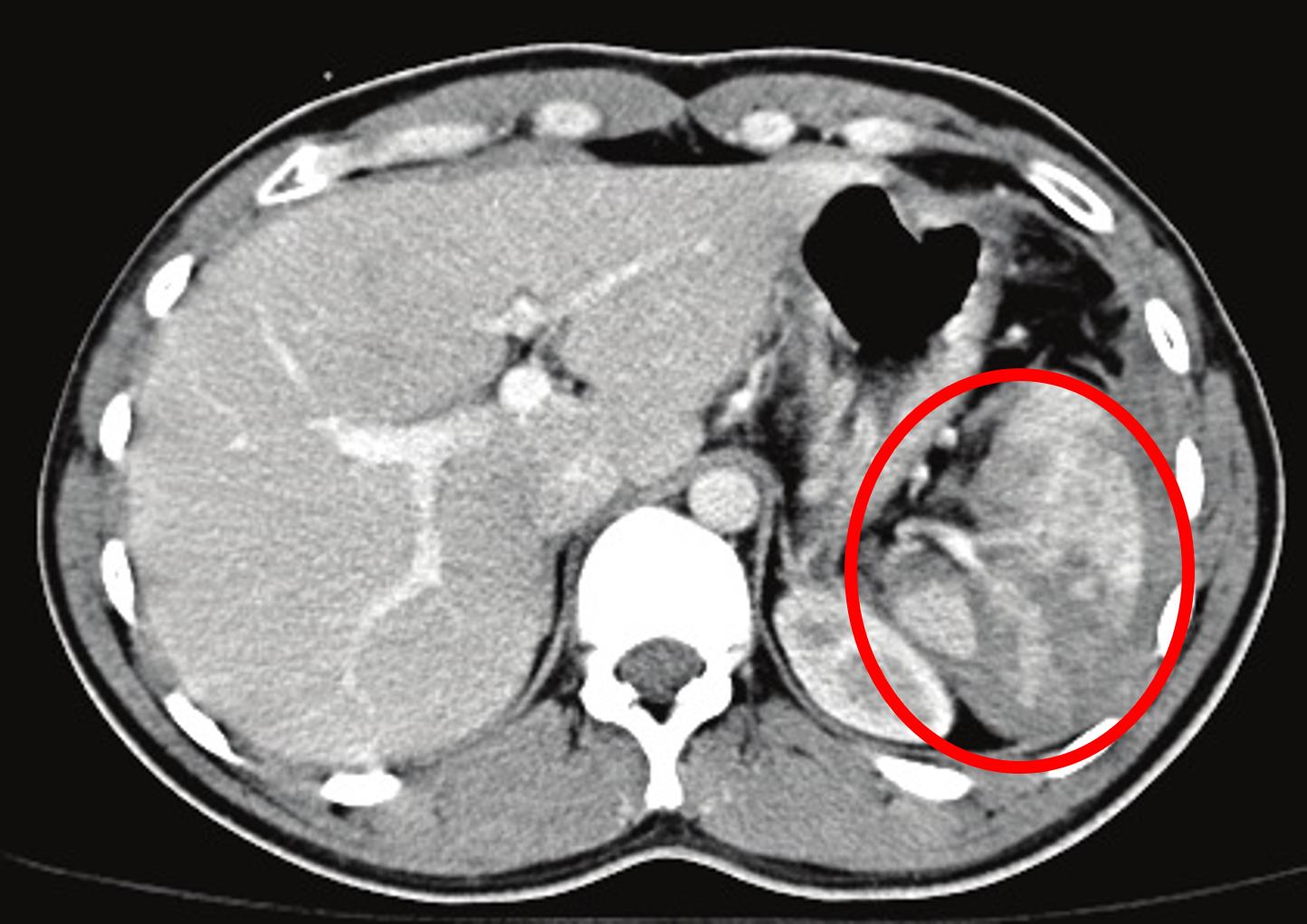
A 31-year-old skier is airlifted to the hospital after being involved in a collision with a tree. On arrival, she has severe pain in her abdomen and right leg. She has no significant medical history, is up to date on all vaccinations, and her last tetanus shot was 3 years ago. Her temperature is 36.7°C (98°F), blood pressure is 82/63 mmHg, pulse is 120/min, respirations are 20/min, and oxygen saturation is 97% on 2L oxygen nasal cannula. On physical exam, there are extensive ecchymoses and abrasions along her left posterior ribs and left flank. A radiograph of the right leg shows a midshaft tibial fracture. A CT scan of the abdomen is shown in Figure A. After the appropriate surgical intervention is performed for these injuries, which of the following would be indicated for post-operative care?
  • A

Insertion of a nasogastric tube

0%

0/0

Insertion of a thoracostomy tube

0%

0/0

Standing cefazolin and gentamicin

0%

0/0

Tetanus vaccine administration

0%

0/0

Vaccination against encapsulated organisms

0%

0/0

  • A

Select Answer to see Preferred Response

This patient with evidence of splenic rupture and hemoperitoneum on CT imaging most likely underwent emergency splenectomy. Subsequently, this asplenic patient will require vaccination against encapsulated bacteria such as S. pneumoniae, N. meningitidis, and H. influenzae.

The capsules of encapsulated bacteria serve as an antiphagocytic virulence factor. To clear these bacteria, opsonization and subsequent clearance by the spleen must occur. In the setting of asplenia, opsonization capability is significantly decreased and thus asplenic patients are at high risk of severe infections by encapsulated bacteria. Asplenic patients require vaccination against the encapsulated bacteria S. pneumoniae, N. meningitidis, and H. influenza. With regards to S. pneumonia, the recommended vaccine sequence would be PCC13 first followed by PPSV23 8 weeks later. With regards to meningococcal and H. influenza type B, these vaccines would be provided either 14 days before or 14 days after the procedure to remove the spleen.

Patton et al. review the recommendations for serogroup B meningococcal vaccination. They discuss how patients aged 10 to 25 years old who are at increased risk for meningococcal disease, such as asplenic patients, should get 3 doses of the MenB-FHbp vaccine. They recommend the administration of only 2 doses of the vaccine to patients who are not at elevated risk.

Figure/Illustration A is an abdominal CT that demonstrates a traumatic appearance of the spleen with a perisplenic hemoperitoneum (red circle). These findings are consistent with a high grade splenic laceration.

Incorrect Answers:
Answer 1: Insertion of a nasogastric tube would be appropriate in a patient with bowel obstruction or significant post-operative ileus. There is no evidence that this patient is experiencing obstruction or ileus, which typically presents with nausea, vomiting, abdominal pain, bloating, and lack of flatus or bowel movements.

Answer 2: Insertion of a thoracostomy tube is not indicated in this patient as there is no evidence of pneumothorax or hemothorax. Patients with pneumothorax or hemothorax typically present with tachycardia, tachypnea, and decreased oxygen saturation. On exam, such patients may have decreased breath sounds. Ultrasonography may also reveal the absence of lung sliding.

Answer 3: Standing cefazolin and gentamicin are not indicated in the immediate post-operative period for asplenic adults. Daily oral antibiotic prophylaxis is indicated in asplenic patients with a history of another concurrent immunocompromising condition or a history of severe infection due to an encapsulated organism. Standing cefazolin and gentamicin would be appropriate for a high-grade open fracture.

Answer 4: Tetanus vaccination is indicated every 10 years in patients who have previously received 3 doses of the tetanus vaccine and have clean or minor wounds. In patients with more extensive wounds who have previously received 3 doses of tetanus vaccine, re-vaccination is only necessary if their last tetanus vaccine was 5 or more years ago. This patient has extensive abrasions but is up to date on all vaccines and last received a tetanus vaccine 3 years ago, so a re-vaccination during this time is not indicated.

Bullet Summary:
Asplenic patients require vaccination against Streptococcus pneumoniae, Neisseria meningitidis, and Haemophilus influenzae within 14 days of the procedure.

ILLUSTRATIONS:
REFERENCES (1)
Authors
Rating
Please Rate Question Quality

0.0

  • star icon star icon star icon
  • star icon star icon star icon
  • star icon star icon star icon
  • star icon star icon star icon
  • star icon star icon star icon

(0)