Please confirm topic selection

Are you sure you want to trigger topic in your Anconeus AI algorithm?

Please confirm action

You are done for today with this topic.

Would you like to start learning session with this topic items scheduled for future?

Review Question - QID 221298

In scope icon N/A
QID 221298 (Type "221298" in App Search)
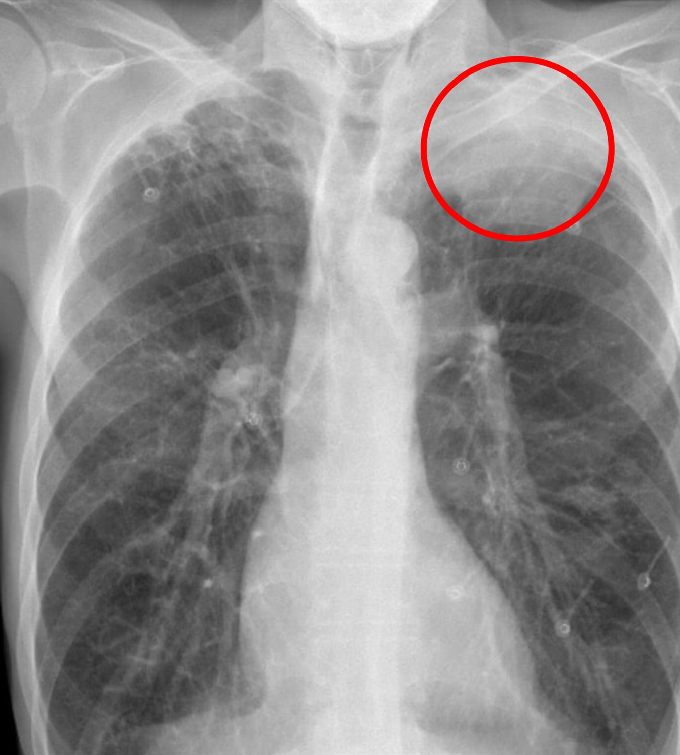
A 73-year-old man presents to his primary care physician with a 2 month history of shortness of breath. He started noticing the symptoms while playing tennis with his friends, but his symptoms have gotten worse over time. He has worsening pain in his right shoulder and episodes of hemoptysis as well. He has a history of coronary artery disease and underwent an uncomplicated coronary angioplasty with stent placement 2 years ago. He worked as a shipyard engineer for his career and has a 30-pack-year smoking history. He drinks 2-3 drinks per week. His temperature is 98.7°F (37°C), blood pressure is 141/79 mmHg, pulse is 97/min, and respirations are 13/min. Physical exam is notable for right pupillary constriction as well as paresthesias in his right fourth and fifth digits. There is no pain with active shoulder rotation. His chest imaging is shown in Figure A. Which of the following is most likely responsible for the patient’s symptoms?
  • A

Lung adenocarcinoma

0%

0/0

Mesothelioma

0%

0/0

Syringomyelia

0%

0/0

Thoracic outlet syndrome

0%

0/0

Tuberculosis

0%

0/0

  • A

Select Answer to see Preferred Response

This patient with an extensive smoking history with hemoptysis, weight loss, and shortness of breath most likely has lung adenocarcinoma. The associated paresthesias and Horner syndrome is most likely due to a Pancoast tumor.

A Pancoast tumor is a peripheral lung cancer often caused by lung adenocarcinoma or squamous cell carcinoma. This type of tumor is located in the superior sulcus of the lung where it can cause compression of adjacent structures. Patients present with severe, localized axillary pain due to invasion of the brachial plexus, which can also result in weakness of intrinsic hand muscles with radicular pain and paresthesias in the fourth and fifth digits. Patients may also have Horner syndrome (miosis, ptosis, and facial anhidrosis due to invasion of the cervical sympathetic nerves), hoarseness (due to invasion of the recurrent laryngeal nerve), and edema of the arm with facial swelling (due to compression of the superior vena cava). Treatment is varied and involves a combination of radiation, chemotherapy, and surgery.

Wu et al. studied the role of the tyrosine-kinase inhibitor, osimertinib, in the treatment of completely resected epidermal growth factor receptor (EGFR)-mutated non-small cell lung cancer (NCSLC). They recommend the use of osimertinib in patients with EGFR-mutated NSCLC.

Figure/Illustration A is a chest radiograph that demonstrates an apical lung mass (red circle). This finding is classically seen in patients with a Pancoast tumor.

Incorrect Answers:
Answer 2: Mesothelioma is a neoplasm of the pleura found in people with occupational exposures to asbestos, such as shipyard workers. While this neoplasm can present with hemoptysis and dyspnea, chest imaging of mesothelioma reveals pleural plaques and thickening, not an isolated apical lung lesion.

Answer 3: Syringomyelia is a cyst or cavity in the spinal column that can cause Horner syndrome and fluctuating radicular pain. It is unlikely to cause hemoptysis, weight loss, and the chest imaging findings in this patient.

Answer 4: Thoracic outlet syndrome can also present with upper extremity pain and paresthesias; however, symptoms due to this syndrome typically occur in a postural-dependent manner. The patient would not have a large mass in the lung.

Answer 5: Tuberculosis is a possible diagnosis in this patient with hemoptysis, weight loss, and extensive travel history. Tuberculosis often presents with a fever and does not usually cause shoulder pain.

Bullet Summary:
Pancoast tumor presents with shoulder pain, cervical radiculopathy, Horner syndrome, and hoarseness and should be suspected in a patient with a smoking history and an apical lung mass on imaging.

ILLUSTRATIONS:
REFERENCES (1)
Authors
Rating
Please Rate Question Quality

0.0

  • star icon star icon star icon
  • star icon star icon star icon
  • star icon star icon star icon
  • star icon star icon star icon
  • star icon star icon star icon

(0)