Please confirm topic selection

Are you sure you want to trigger topic in your Anconeus AI algorithm?

Please confirm action

You are done for today with this topic.

Would you like to start learning session with this topic items scheduled for future?

Review Question - QID 221296

QID 221296 (Type "221296" in App Search)
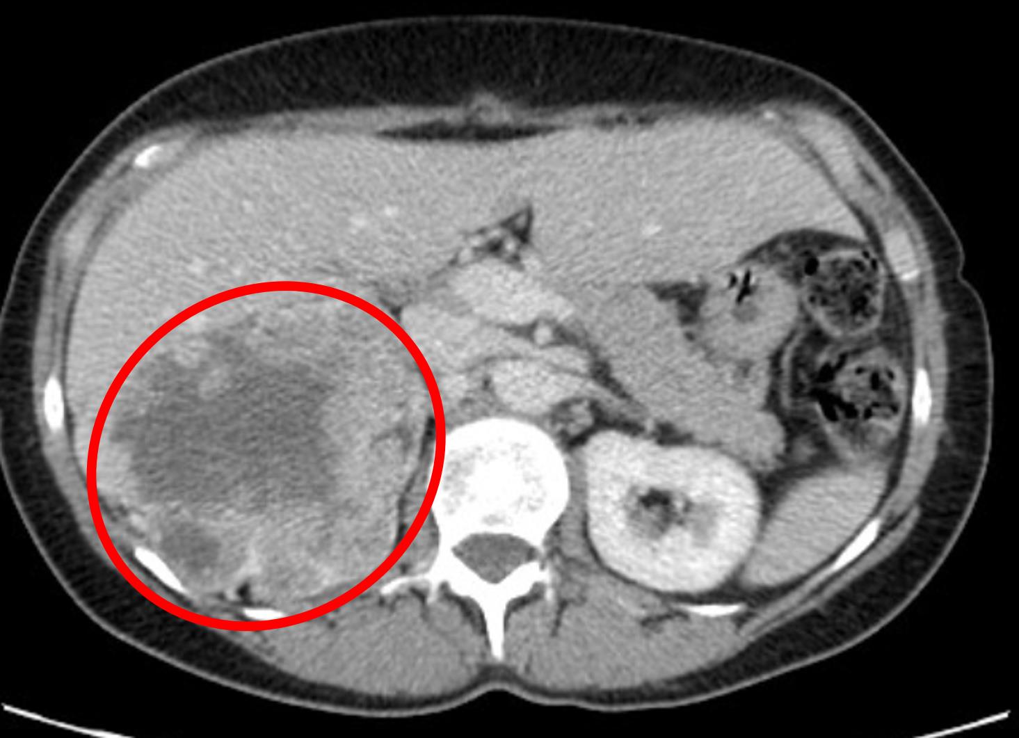
A 66-year-old man presents to his primary care physician with a 2 day history of red colored urine. He first noticed the symptom after returning home from a cruise vacation. He was surprised by the color change because he had not noticed any urgency or pain with urination. He denies fever, chills, or other symptoms. His medical history includes hypertension, hyperlipidemia, chronic obstructive pulmonary disease, and diabetes. His medications include amlodipine, atorvastatin, tiotropium, and metformin. He currently smokes 1 pack of cigarettes per day and has a 30 pack-year smoking history. His temperature is 98.7°F (37°C), blood pressure is 136/88 mmHg, pulse is 80/minute, and respirations are 16/minute. Physical exam reveals no costovertebral angle tenderness or palpable abdominal masses. A CT scan is obtained and the results are shown in Figure A. Which of the following additional findings is most likely to be observed?
  • A

Eyelid droop

0%

0/0

Flushing and diarrhea

0%

0/0

Hypercalcemia

0%

0/0

Hyponatremia

0%

0/0

Multiple hepatic cysts

0%

0/0

  • A

Select Answer to see Preferred Response

The finding of hematuria in a smoker with a heterogeneous, hypervascular renal mass is suggestive of renal cell carcinoma (RCC). The most common paraneoplastic syndrome in RCC is hypercalcemia of malignancy.

Hypercalcemia of malignancy is a paraneoplastic syndrome caused by the secretion of parathyroid hormone-related peptide (PTHrP). PTHrP shares some homology with endogenous parathyroid hormone (PTH) and thus binds the same receptor. This results in increased bone turnover and reduced reabsorption of phosphate by proximal tubule cells in the kidney. It is commonly observed in squamous cell carcinoma of the lung and RCC. Serum calcium levels > 13 mg/dL should prompt consideration of malignant sources since such high levels are rare in primary hyperparathyroidism. Treatment of symptomatic lethargy and stupor in patients with severe hypercalcemia consists of isotonic fluids, loop diuretics, calcitonin, and bisphosphonates. Other paraneoplastic syndromes seen with RCC include hypertension due to hyper-reninism, polycythemia from ectopic production of erythropoietin, Cushing syndrome due to the production of ACTH, and dysglycemia due to ectopic secretion of glucagon or insulin.

Bahadoram et al. reviewed recent research in renal cell carcinoma. They discuss how most cases of renal cell carcinoma are diagnosed accidentally, but the incidence has increased over the past few decades after improvements in diagnostic testing. They recommend trying to make an early diagnosis because early detection is critical for patient prognosis.

Figure/Illustration A is a CT scan of the abdomen demonstrating a large heterogeneous mass in the retroperitoneum (red circle). This finding is consistent with a diagnosis of renal cell carcinoma.

Incorrect Answers:
Answer 1: Eyelid droop is a common finding in patients with myasthenia gravis or Lambert-Eaton syndrome. These symptoms cause weakness that can be associated with ptosis, diplopia, dysphagia, and/or dysarthria. These syndromes are associated with thymomas and small cell carcinomas of the lung, respectively.

Answer 2: Flushing and diarrhea are often observed in carcinoid syndrome, which is caused by neuroendocrine tumors of the gastrointestinal tract that have metastasized to the liver. Flushing and diarrhea are uncommon in non-metastatic neuroendocrine tumors because of first-pass hepatic clearance.

Answer 4: Hyponatremia can be caused by the syndrome of inappropriate antidiuretic hormone, which is a paraneoplastic syndrome commonly seen in patients with small-cell carcinoma of the lung. Severe cases present with symptoms of severe hyponatremia such as nausea, vomiting, seizures, or coma. Workup shows hypotonic, euvolemic hyponatremia with elevated urine sodium and osmolality.

Answer 5: Multiple hepatic cysts are associated with autosomal-dominant polycystic kidney disease. Patients classically have a family history of ADPKD, and a CT scan shows thin-walled, rounded structures indicative of simple cysts. A heterogeneously enhancing mass with thick septa should raise suspicion for an alternative diagnosis.

Bullet Summary:
Hypercalcemia of malignancy is a paraneoplastic syndrome commonly encountered with renal cell carcinoma due to the production of the parathyroid hormone-related peptide.

ILLUSTRATIONS:
REFERENCES (1)
Authors
Rating
Please Rate Question Quality

3.0

  • star icon star icon star icon
  • star icon star icon star icon
  • star icon star icon star icon
  • star icon star icon star icon
  • star icon star icon star icon

(1)