Please confirm topic selection

Are you sure you want to trigger topic in your Anconeus AI algorithm?

Please confirm action

You are done for today with this topic.

Would you like to start learning session with this topic items scheduled for future?

Review Question - QID 221293

In scope icon N/A
QID 221293 (Type "221293" in App Search)
A 17-year-old girl presents to her pediatrician with a 6 month history of amenorrhea. She first started having irregular periods around 1 year ago. She had 1 period every 2 months until 6 months ago, when they ceased completely. Menarche was at age 12 and she is otherwise healthy. She enjoys running track and field and has been training for an upcoming meet. She denies alcohol use, smoking, and recreational drugs. She is not sexually active and does not take oral contraceptives. Her temperature is 36.7°C (98°F), blood pressure is 121/80 mmHg, pulse is 62/min, respirations are 11/min, oxygen saturation is 100% on room air, and BMI is 20 kg/m^2. Her pelvic exam reveals an anteverted uterus, no adnexal masses, a normal-appearing cervix with no cervical motion tenderness, and normal vaginal anatomy. An ultrasound is obtained and the results are shown in Figure A. Which of the following is the most likely cause of this patient's amenorrhea?
  • A

Anorexia nervosa

0%

0/0

Functional hypothalamic amenorrhea

0%

0/0

Hypothyroidism

0%

0/0

Polycystic ovarian syndrome

0%

0/0

Pregnancy

0%

0/0

  • A

Select Answer to see Preferred Response

This patient presenting with secondary amenorrhea and a history of rigorous exercise most likely has the female athletic triad. This condition includes functional hypothalamic amenorrhea.

Functional hypothalamic amenorrhea is a condition in which relative caloric deficiency leads to functional disruption of the normal pulsatile release of gonadotropin-releasing hormone (GnRH). This condition can occur due to severe caloric restriction, increased energy expenditure, or increased stress. The decreased GnRH release will result in decreased levels of follicle-stimulating hormone (FSH) and luteinizing hormone (LH), disruption to estrogen levels, and amenorrhea. A common associated clinical presentation is known as the "female athlete triad," which includes decreased calorie availability or increased energy expenditure through exercise, decreased bone mineral density due to a decrease in estrogen levels, and menstrual dysfunction. Treatment includes increasing caloric intake, behavioral therapy as needed, and possible estrogen replacement therapy.

Ackerman et al. reviews the role of estrogen replacement in improving bone mineral density in patients with functional hypothalamic amenorrhea. They discuss how spine and femoral neck bone mineral density z-scores significantly increased with estrogen replacement. They recommend the use of transdermal estradiol over 12 months in improving bone mineral density in patients with functional hypothalamic amenorrhea.

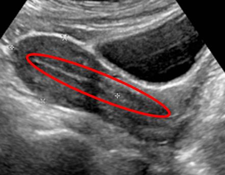
Figure/Illustration A is a pelvic ultrasound demonstrating an empty uterus with a closed myometrial cavity (red circle). This finding rules out pregnancy as a cause of amenorrhea.

Incorrect Answers:
Answer 1: Anorexia nervosa will often manifest with secondary amenorrhea in women. This patient has a normal BMI and no history of disordered eating. The mechanism of amenorrhea in the setting of anorexia nervosa relates to the same hypothalamic-pituitary-ovarian axis at play in functional hypothalamic amenorrhea wherein the state of energy deficiency from inadequate caloric intake disrupts normal pulsatile GnRH secretion, leading to decreased FSH, LH, estrogen levels, and subsequent amenorrhea.

Answer 3: Hypothyroidism is a cause of secondary amenorrhea wherein abnormal thyroid function can lead to altered levels of sex hormone-binding protein, prolactin, and gonadotropin-releasing hormone, thus causing menstrual dysfunction. This patient does not present with other signs of hypothyroidism, such as fatigue, sensitivity to cold, dry skin, muscle weakness, weight gain, constipation, joint stiffness, or thinning hair.

Answer 4: Polycystic ovary syndrome is a condition often associated with obesity in which hyperinsulinemia or insulin resistance is hypothesized to alter the hypothalamus feedback response, leading to the increased luteinizing hormone to follicle-stimulating hormone ratio, increased androgen levels, and decreased rate of follicular maturation leading to unruptured follicles. Patients will often present with amenorrhea or oligomenorrhea, hirsutism, acne, and decreased fertility.

Answer 5: Pregnancy is a cause of secondary amenorrhea that is less likely in this patient given her lack of sexual history and other associated symptoms such as decreased appetite, nausea, and insomnia. A beta-human chorionic gonadotropin (beta-hCG) test should always be part of the workup for secondary amenorrhea.

Bullet Summary:
Functional hypothalamic amenorrhea is a condition in which caloric restriction, increased energy expenditure through exercise, and/or increased stress leads to a disrupted pulsatile secretion of gonadotropin-releasing hormone with the downstream effect of amenorrhea.

ILLUSTRATIONS:
REFERENCES (1)
Authors
Rating
Please Rate Question Quality

0.0

  • star icon star icon star icon
  • star icon star icon star icon
  • star icon star icon star icon
  • star icon star icon star icon
  • star icon star icon star icon

(0)