Please confirm topic selection

Are you sure you want to trigger topic in your Anconeus AI algorithm?

Please confirm action

You are done for today with this topic.

Would you like to start learning session with this topic items scheduled for future?

Review Question - QID 221291

In scope icon N/A
QID 221291 (Type "221291" in App Search)
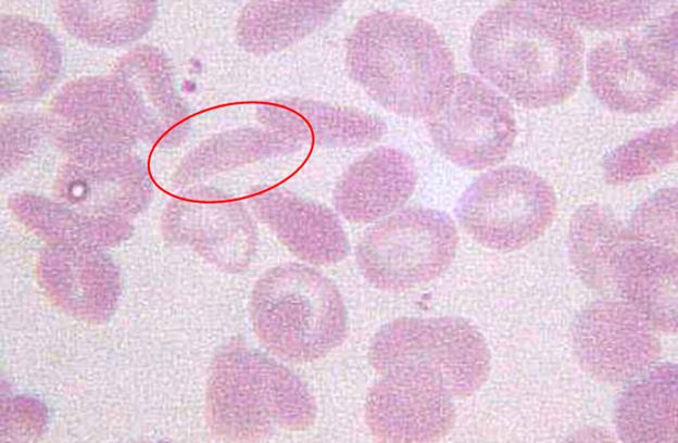
A 9-year-old boy is brought to his pediatrician with a 1 week history of right thigh pain. His mother says that she first noticed some redness on his distal anterior thigh after they returned from a hike. Over the next few days, the pain has gotten worse and was associated with swelling. The boy started limping 3 days ago and is now unable to ambulate. She does not recall seeing any trauma or other inciting events. His medical history is significant for anemia and a blood smear is shown in Figure A. His temperature is 102.9°F (39.4°C), blood pressure is 84/50 mmHg, pulse is 140/min, and respirations are 22/min. The right anterior distal thigh is erythematous, swollen, and warm. Tenderness to palpation is felt in the medial femoral condyle. Which of the following agents is the most likely cause of this patient’s symptoms?
  • A

Candida albicans

0%

0/3

Kingella kingae

33%

1/3

Pasteurella multocida

0%

0/3

Pseudomonas aeruginosa

0%

0/3

Salmonella enterica

67%

2/3

  • A

Select Answer to see Preferred Response

This patient with sickle cell disease who presents with right thigh pain, erythema, swelling, warmth, and painful ambulation most likely has acute osteomyelitis. The most common cause of acute osteomyelitis in patients with sickle cell disease is Salmonella enterica.

Staphylococcus aureus is the most common overall cause of osteomyelitis. However, in patients with sickle cell disease, progressive vaso-occlusion of the splenic vasculature results in functional asplenia and splenic sequestration crises which result in splenic deficiency. The spleen plays an integral role in clearing encapsulated organisms from the human body. Patients with asplenia such as patients with sickle cell disease are especially susceptible to infections with encapsulated organisms such as Salmonella species. Salmonella is the most common cause of acute osteomyelitis in the sickle cell population. Initial workup generally includes measurement of serum inflammatory markers such as ESR/CRP, plain radiographs, magnetic resonance imaging, and blood/site cultures. The treatment for Salmonella osteomyelitis is with antibiotics.

Kao et al. studied the most common causes of osteomyelitis in children with sickle cell disease. They discuss how Salmonella was the most frequently isolated organism. They recommend that early bone and blood cultures be obtained to distinguish causative organisms of osteomyelitis in children.

Figure/Illustration A is a peripheral blood smear with crescent-shaped erythrocytes (red circle). These cells are characteristically seen in patients with sickle cell anemia.

Incorrect Answers:
Answer 1: Candida albicans is an uncommon cause of osteomyelitis that can be seen in patients abusing intravenous drugs or immunocompromised patients. This is not a common cause of osteomyelitis in patients with Salmonella.

Answer 2: Kingella kingae is a gram-negative commensal organism that is a common cause of osteomyelitis in children aged 6 to 36 months.

Answer 3: Pasteurella multocida is a facultative anaerobe that is found in the oral cavity of dogs and cats and can cause osteomyelitis in the setting of bite injuries.

Answer 4: Pseudomonas aeruginosa is a rare cause of osteomyelitis that is seen in patients abusing intravenous drugs. It can also be a cause of osteomyelitis in the foot if there is a puncture wound through a shoe. It would be an uncommon cause of osteomyelitis in patients with sickle cell disease.

Bullet Summary:
The most common cause of acute osteomyelitis in the sickle cell disease population is Salmonella species.

ILLUSTRATIONS:
REFERENCES (1)
Authors
Rating
Please Rate Question Quality

0.0

  • star icon star icon star icon
  • star icon star icon star icon
  • star icon star icon star icon
  • star icon star icon star icon
  • star icon star icon star icon

(0)