Please confirm topic selection

Are you sure you want to trigger topic in your Anconeus AI algorithm?

Please confirm action

You are done for today with this topic.

Would you like to start learning session with this topic items scheduled for future?

Review Question - QID 221290

QID 221290 (Type "221290" in App Search)
A 16-year-old girl presents to her pediatrician for evaluation of amenorrhea. The patient is concerned that she has not yet undergone menarche even though all of her friends have. She denies any other symptoms. She eats regular meals, goes to the gym twice per week, and does not use any substances. She has no significant medical history and takes no medications. Her temperature is 98.8°F (37.1°C), blood pressure is 112/68 mmHg, pulse is 71/min, and respirations are 15/min. Her BMI is 21 kg/m^2. A physical exam demonstrates fully developed breasts but an absence of pubic or axillary hair. A pelvic exam reveals a short vaginal canal and no cervix. Laboratory studies are notable for:

Serum:
Luteinizing hormone (LH): 155 mIU/mL
Estrogen: 450 pg/mL
Testosterone: 470 ng/dL (normal: 15-70 ng/dL)

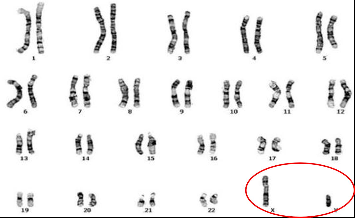
A karyotype is shown in Figure A. Which of the following is the most likely diagnosis?
  • A

5-alpha reductase deficiency

0%

0/0

Complete androgen insensitivity syndrome

0%

0/0

Imperforate hymen

0%

0/0

Mullerian agenesis

0%

0/0

Turner syndrome

0%

0/0

  • A

Select Answer to see Preferred Response

This patient presents with amenorrhea, breast development, lack of pubic or axillary hair, elevated testosterone levels, and an XY karyotype. These findings are consistent with complete androgen insensitivity syndrome.

Complete androgen insensitivity syndrome is an X-linked recessive condition in 46,XY genotypic patients in which a defect of the androgen receptor pathway results in decreased expression of androgenic genes. The presence of the sex-determining region Y gene on the Y chromosome blocks the development of internal female sex structures such as ovaries, cervix, and uterus. Instead, these patients will have testes and vas deferens. However, since testosterone cannot be properly sensed, the hypothalamic-pituitary-gonadal axis is overactivated. This leads to increased levels of luteinizing hormones, testosterone, as well as estrogen. Patients lack pubic or axillary hair despite high levels of testosterone. Treatment of CAIS involves prophylactic orchiectomy for undescended testes to reduce the risk of malignancy, estrogen replacement therapy after puberty, and psychological support.

Kolesinka et al. studied the changes in sex assignment for disorders of sexual development over time. They found that an increasing number of patients with androgen insensitivity syndrome are raised as males. They recommend further study of how this change in practice affects long-term health outcomes.

Figure/Illustration A is a karyotype analysis demonstrating the presence of both X and Y sex chromosomes (red circle). This finding is consistent with a diagnosis of complete androgen insensitivity.

Incorrect Answers:
Answer 1: 5-alpha reductase deficiency affects 46,XY individuals and results in the development of male gonads and ambiguous genitalia due to decreased ability to convert testosterone to dihydrotestosterone. These patients would not have a normal female external appearance.

Answer 3: An imperforate hymen can lead to primary amenorrhea due to an occluded uterine outflow tract by an intact hymen membrane. Imperforate hymen usually presents with worsening monthly abdominal pain and distention from retrograde menstrual blood flow through the fallopian tubes into the abdominal cavity.

Answer 3: Mullerian agenesis occurs in 46,XX phenotypic females and presents with amenorrhea secondary to improper development of Mullerian ductal structures such as the uterus and upper vagina. Patients will have normal ovaries and axillary/pubic hair.

Answer 4: Turner syndrome occurs in 45,XO individuals and results in short stature, webbed neck, coarctation of the aorta, and primary amenorrhea from underdeveloped ovaries.

Bullet Summary:
Complete androgen insensitivity syndrome presents as amenorrhea in 46,XY patients who have external female characteristics, lack of axillary or pubic hair, as well as high testosterone, estrogen, and luteinizing hormone levels.

ILLUSTRATIONS:
REFERENCES (1)
Authors
Rating
Please Rate Question Quality

0.0

  • star icon star icon star icon
  • star icon star icon star icon
  • star icon star icon star icon
  • star icon star icon star icon
  • star icon star icon star icon

(0)