Please confirm topic selection

Are you sure you want to trigger topic in your Anconeus AI algorithm?

Please confirm action

You are done for today with this topic.

Would you like to start learning session with this topic items scheduled for future?

Review Question - QID 221283

In scope icon N/A
QID 221283 (Type "221283" in App Search)
A 72-year-old woman is brought to the emergency room by her husband after she collapsed at home. She lost consciousness, fell to the floor, and had jerking movements of her arms and legs. She has been having worsening headaches that she describes as constant and dull. Recently, she has become increasingly nauseous and has vomited multiple times over the last week. Her medical history is significant for hypertension for which she takes lisinopril. Her temperature is 98.6°F (37.0°C), blood pressure is 115/70 mmHg, pulse is 70/min, and respirations are 12/min. She is noted to have papilledema on fundoscopy, but physical exam is otherwise normal. She is found to have a lesion on imaging of the brain and a biopsy result is shown in Figure A. Which of the following is the most likely diagnosis?
  • A

Cerebral toxoplasmosis

0%

0/0

Glioblastoma multiforme

0%

0/0

Hemorrhagic stroke

0%

0/0

Metastatic brain tumor

0%

0/0

Neurosarcoidosis

0%

0/0

  • A

Select Answer to see Preferred Response

This patient who presents with new onset seizure in the setting of headaches, nausea, vomiting, and papilledema most likely has a brain lesion. The histology of this lesion is diagnostic of glioblastoma multiforme.

Glioblastoma multiforme is the most common malignant primary nervous system cancer, most commonly occurring in adults above the age of 65. The tumor arises from the cerebral hemispheres and classically crosses the corpus callosum, producing a butterfly appearance on CT/MRI. Pseudopalisading necrosis is seen on biopsy, and tissue biopsy is usually glial fibrillary acidic protein (GFAP) positive. It has an unfavorable prognosis with a life expectancy of 6 months to 1 year. Management of glioblastoma includes surgical resection and palliative radiotherapy/chemotherapy.

Stupp et al. studied the role of electrical field therapy in conjunction with temozolomide in the treatment of glioblastoma multiforme. They found that combination therapy improved median progression-free survival. They recommend that clinicians consider the use of this modality to treat selected patients with glioblastoma multiforme.

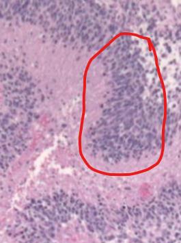
Figure/Illustration A is a histology slide showing pseudopalisading necrosis (red circle). This finding is characteristically seen in patients with glioblastoma multiforme.

Incorrect Answers:
Answer 1: Cerebral toxoplasmosis is most common in patients with acquired immunodeficiency syndrome (AIDS), especially with CD4 T-cell counts of less than 100 cells/mm^3. This patient has no signs of infection or underlying conditions. Histology would show a cystic lesion.

Answer 3: Hemorrhagic stroke presents acutely with hemiparesis, altered mental status, slurred speech, or sensorimotor symptoms. CT imaging would show hemorrhage and a biopsy would not be performed.

Answer 4: Metastatic brain tumor often presents with multiple well-circumscribed lesions with multiple cerebral findings. In a patient with no smoking history, a single brain lesion, and no other extra-cranial symptoms, this is a less likely diagnosis. Biopsy would show the histology of the underlying primary lesion.

Answer 5: Neurosarcoidosis can be caused by infiltrative sarcoidosis and often presents with bitemporal hemianopsia due to infiltration of the pituitary gland. Patients with sarcoidosis typically also present with pulmonary symptoms that are absent in this patient. Granulomas would be seen on histology

Bullet Summary:
Glioblastoma multiforme should be suspected in patients presenting with symptoms of increasing intracranial pressure and histology would show pseudopalisading necrosis.

ILLUSTRATIONS:
REFERENCES (1)
Authors
Rating
Please Rate Question Quality

5.0

  • star icon star icon star icon
  • star icon star icon star icon
  • star icon star icon star icon
  • star icon star icon star icon
  • star icon star icon star icon

(2)