Please confirm topic selection

Are you sure you want to trigger topic in your Anconeus AI algorithm?

Please confirm action

You are done for today with this topic.

Would you like to start learning session with this topic items scheduled for future?

Review Question - QID 221269

In scope icon N/A
QID 221269 (Type "221269" in App Search)
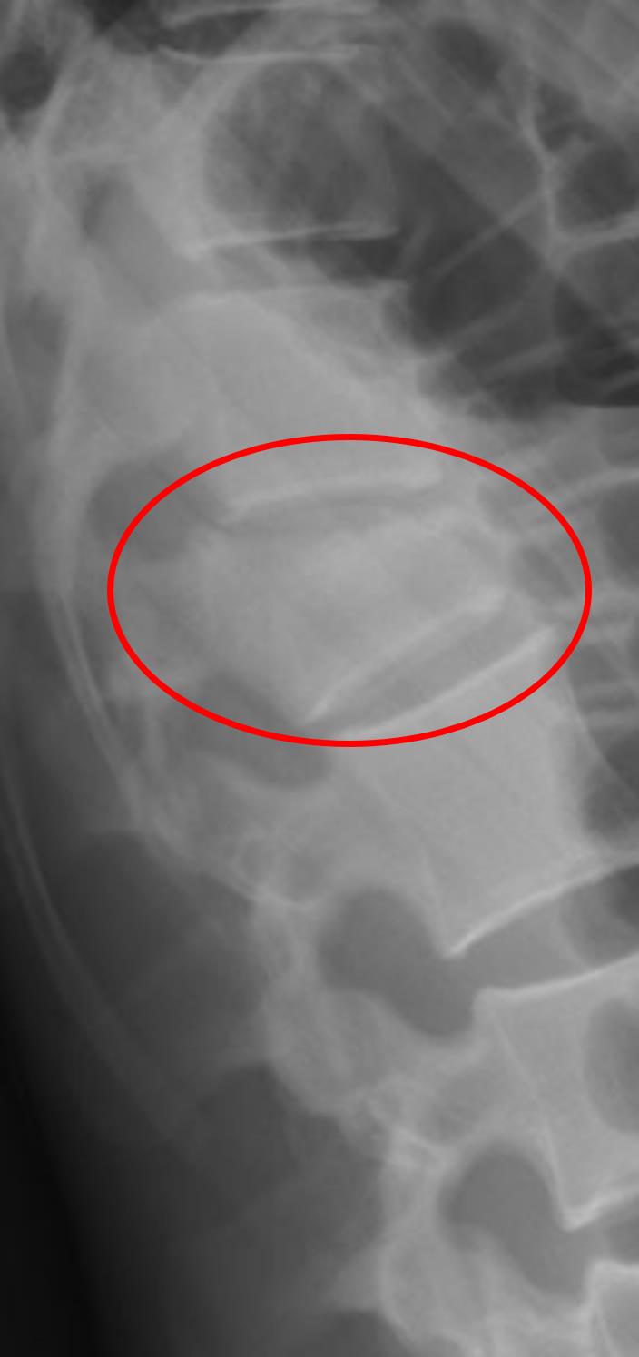
A 71-year-old woman presents to the emergency department with a 2 hour history of low back pain. She started experiencing the pain after waking up this morning but is not sure what triggered it. She does not usually get back pain and she has been feeling fine otherwise. Her medical history is significant for anxiety, HIV on antiretroviral therapy, and a 40 pack-year smoking history. Her temperature is 99.8°F (37.7°C), blood pressure is 147/98 mmHg, pulse is 100/min, respirations are 17/min, and oxygen saturation is 98% on room air. A physical exam is notable for tenderness to palpation over the patient’s midline spine. A radiograph is ordered, and the results are seen in Figure A. Laboratory values are ordered as seen below.

Serum:
Na+: 139 mEq/L
Cl-: 100 mEq/L
K+: 4.3 mEq/L
HCO3-: 25 mEq/L
BUN: 20 mg/dL
Glucose: 99 mg/dL
Creatinine: 1.4 mg/dL
Ca2+: 10.2 mg/dL

Which of the following is the most likely diagnosis?
  • A

Compression fracture

0%

0/0

Epidural hematoma

0%

0/0

Herniated nucleus pulposus

0%

0/0

Multiple myeloma

0%

0/0

Muscular strain

0%

0/0

  • A

Select Answer to see Preferred Response

This patient, who presents with back pain and radiography with collapse of a vertebral segment and subsequent kyphosis, most likely sustained a low-energy vertebral compression fracture.

Vertebral compression fractures present with low back pain, decreased spinal mobility, and pain that increases with standing, walking, and sleeping or lying down. A physical exam will be notable for tenderness at the affected level. Patients with an acute vertebral fracture tend to be elderly with risk factors for osteoporosis, such as being sedentary, postmenopausal, or smoking. Symptoms can either occur after straining or lifting something heavy, but occasionally occur without any inciting factor. Radiography will demonstrate the collapse of the affected segment. Treatment is typically conservative, involving rest and bracing for comfort. Rarely, patients with uncontrolled pain may require an operative intervention with kyphoplasty or vertebroplasty.

Kustal and Ergani review the evidence regarding the diagnosis and treatment of vertebral compression fractures. They discuss how often these fractures are not accurately diagnosed. They recommend treatment with pain control and bracing.

Figure/Illustration A is a radiograph demonstrating the collapse of the vertebral segment (red circle). This finding is consistent with a vertebral compression fracture.

Incorrect Answers:
Answer 2: Epidural hematoma presents with numbness, tingling, and weakness of the lower extremities secondary to trauma, after a procedure such as a spinal epidural, or in a patient with coagulopathy.

Answer 3: Herniated nucleus pulposus presents with back pain after attempting to lift something heavy. Patients will experience radicular symptoms such as electrical pain that shoots down the legs and will have a positive straight leg test.

Answer 4: Multiple myeloma typically presents in an elderly patient with a pathologic fracture. Other findings include renal failure, immunodeficiency and infections, and hypercalcemia with lytic lesions seen on radiography. Multiple myeloma is unlikely in the setting of normal labs and an absence of constitutional symptoms.

Answer 5: Muscular strain presents with muscle pain when using or stretching a muscle. Exam will demonstrate tenderness to palpation in the paraspinal musculature without radicular symptoms that occurred secondary to heavy lifting.

Bullet Summary:
An acute vertebral compression fracture occurs in patients with risk factors such as osteoporosis and presents with tenderness and pain with weight-bearing after lifting something heavy.

ILLUSTRATIONS:
REFERENCES (1)
Authors
Rating
Please Rate Question Quality

5.0

  • star icon star icon star icon
  • star icon star icon star icon
  • star icon star icon star icon
  • star icon star icon star icon
  • star icon star icon star icon

(1)