Please confirm topic selection

Are you sure you want to trigger topic in your Anconeus AI algorithm?

Please confirm action

You are done for today with this topic.

Would you like to start learning session with this topic items scheduled for future?

Review Question - QID 221263

In scope icon N/A
QID 221263 (Type "221263" in App Search)
A 27-year-old woman presents to her obstetrician with a 1-week history of a new breast mass. She noticed the lump when she was trying on a new swimsuit at the store. She has never had a lump in that location before, and she denies any discharge, fever, or recent trauma to the area. She used to play soccer and says maybe a couple of soccer balls hit her in the chest years ago. She has a 5-month-old baby and is currently weaning from breastfeeding. She denies any family history of breast cancer. She has no other significant medical history and takes no medications. Her temperature is 97.0°F (36.1°C), blood pressure is 115/78 mmHg, pulse is 55/min, and respirations are 12/min. A chaperoned physical examination is notable for a periareolar, mobile, well-circumscribed, and nontender mass at the left breast. There are no overlying skin changes. An ultrasound study is performed as shown in Figure A. Which of the following is the most likely diagnosis?
  • A

Breast cyst

33%

1/3

Fat necrosis

0%

0/3

Fibroadenoma

33%

1/3

Galactocele

33%

1/3

Lipoma

0%

0/3

  • A

Select Answer to see Preferred Response

This patient, who presents with a periareolar, well-circumscribed, mobile mass that is anechoic on sonography in the setting of weaning from breastfeeding, most likely has a galactocele.

Galactoceles, or milk retention cysts, are common, benign breast masses that result from cystic collections of fluid. They are usually caused by an obstructed milk duct and present as periareolar, soft, cystic masses. These masses are most commonly detected after a woman ceases to breastfeed, but they may also occur anytime from the last trimester of pregnancy through the beginning of lactation. Diagnosis is often based on clinical information and imaging studies. On ultrasound, galactoceles appear as well-marginated, anechoic cysts. Sometimes galactoceles may exhibit internal echoes due to fatty milk material. Mammography is usually not indicated due to benign appearance on sonography, but if performed, this study may exhibit a classic fat-fluid level. Aspiration of the cyst, which yields a milky substance, confirms the diagnosis. Management is observation as there is no increased risk of subsequent breast cancer.

Sabate et al. review the evaluation of breast disorders related to pregnancy and lactation. They find that mammography is less sensitive in pregnant and lactating women due to increased parenchymal density. They recommend using ultrasonography to evaluate galactoceles in the setting of pregnancy and lactation.

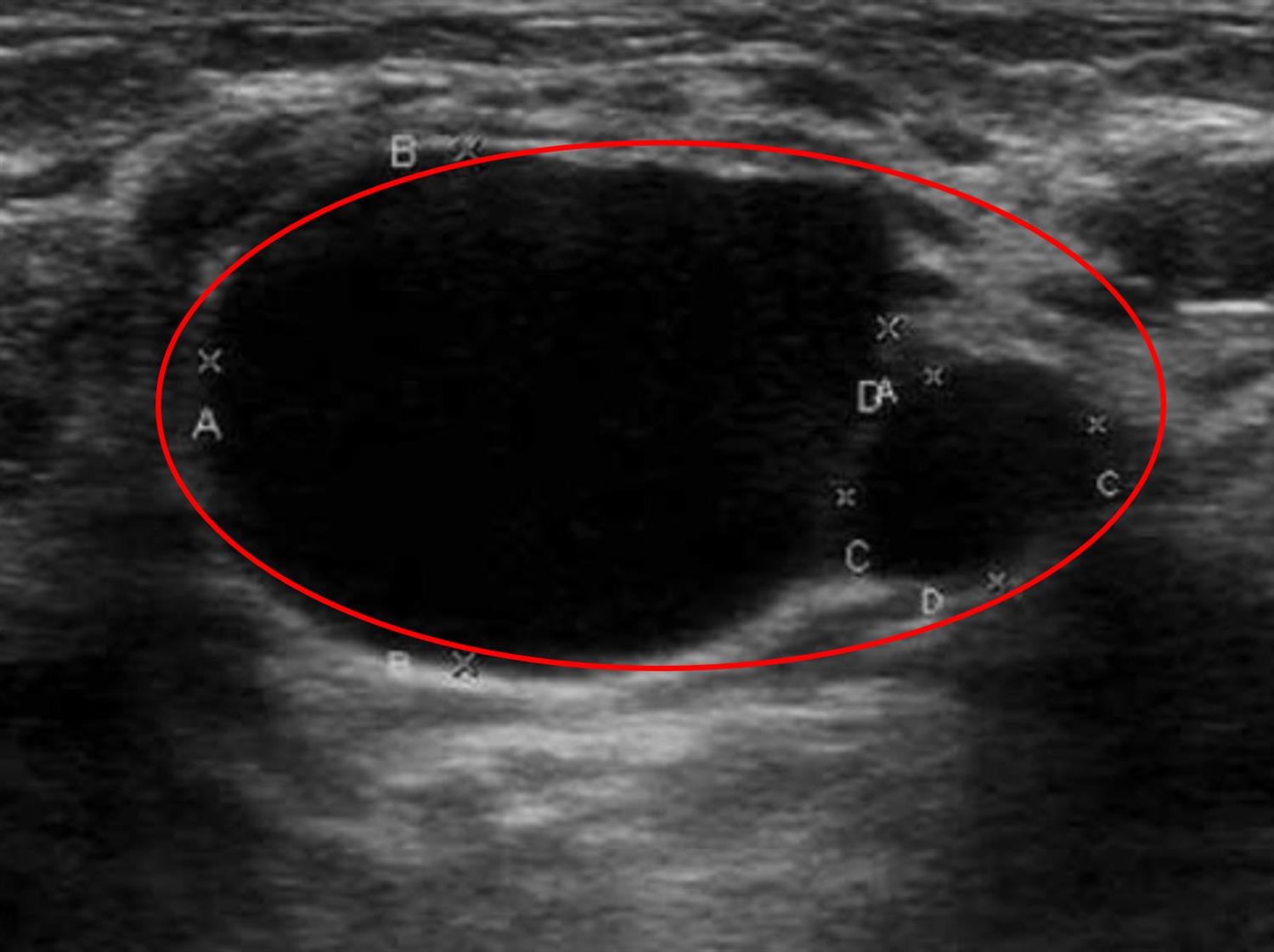
Figure/Illustration A is a sonographic image demonstrating a well-circumscribed, cystic structure that is anechoic (red circle). This finding is characteristically seen in the setting of a galactocele.

Incorrect Answers:
Answer 1: Breast cysts are very common and are fluid-filled, round masses derived from the terminal duct lobular unit. Sonographic appearance of simple breast cysts and galactoceles is largely identical, though some galactoceles may exhibit internal echoes as mentioned. A new-onset breast cyst is more likely a galactocele than a simple breast cyst in the setting of weaning from breastfeeding.

Answer 2: Fat necrosis is a benign breast mass that occurs due to trauma. Fat necrosis is on the differential due to the patient’s soccer history. The appearance of fat necrosis on ultrasound can range from a solid hypoechoic mass to a complex intracystic mass that can be suspicious for malignancy. This patient’s sonographic image is characteristic of a galactocele.

Answer 3: Fibroadenomas are the most common benign tumors in the breast and also present as well-defined, mobile masses. On sonography, fibroadenomas appear as an ovoid, smooth, solid mass with even, low-level internal echoes.

Answer 5: A lipoma is a benign, usually solitary tumor composed of mature fat cells. It also presents as a soft, nontender, well-circumscribed mass, but appears as a rounded lesion that is isoechoic or, at times, slightly hyperechoic to surrounding fat on sonography.

Bullet Summary:
Galactoceles are common benign breast masses composed of milky/fat material and present as periareolar, soft, and well-circumscribed masses.

ILLUSTRATIONS:
REFERENCES (1)
Authors
Rating
Please Rate Question Quality

0.0

  • star icon star icon star icon
  • star icon star icon star icon
  • star icon star icon star icon
  • star icon star icon star icon
  • star icon star icon star icon

(0)