Please confirm topic selection

Are you sure you want to trigger topic in your Anconeus AI algorithm?

Please confirm action

You are done for today with this topic.

Would you like to start learning session with this topic items scheduled for future?

Review Question - QID 221240

In scope icon N/A
QID 221240 (Type "221240" in App Search)
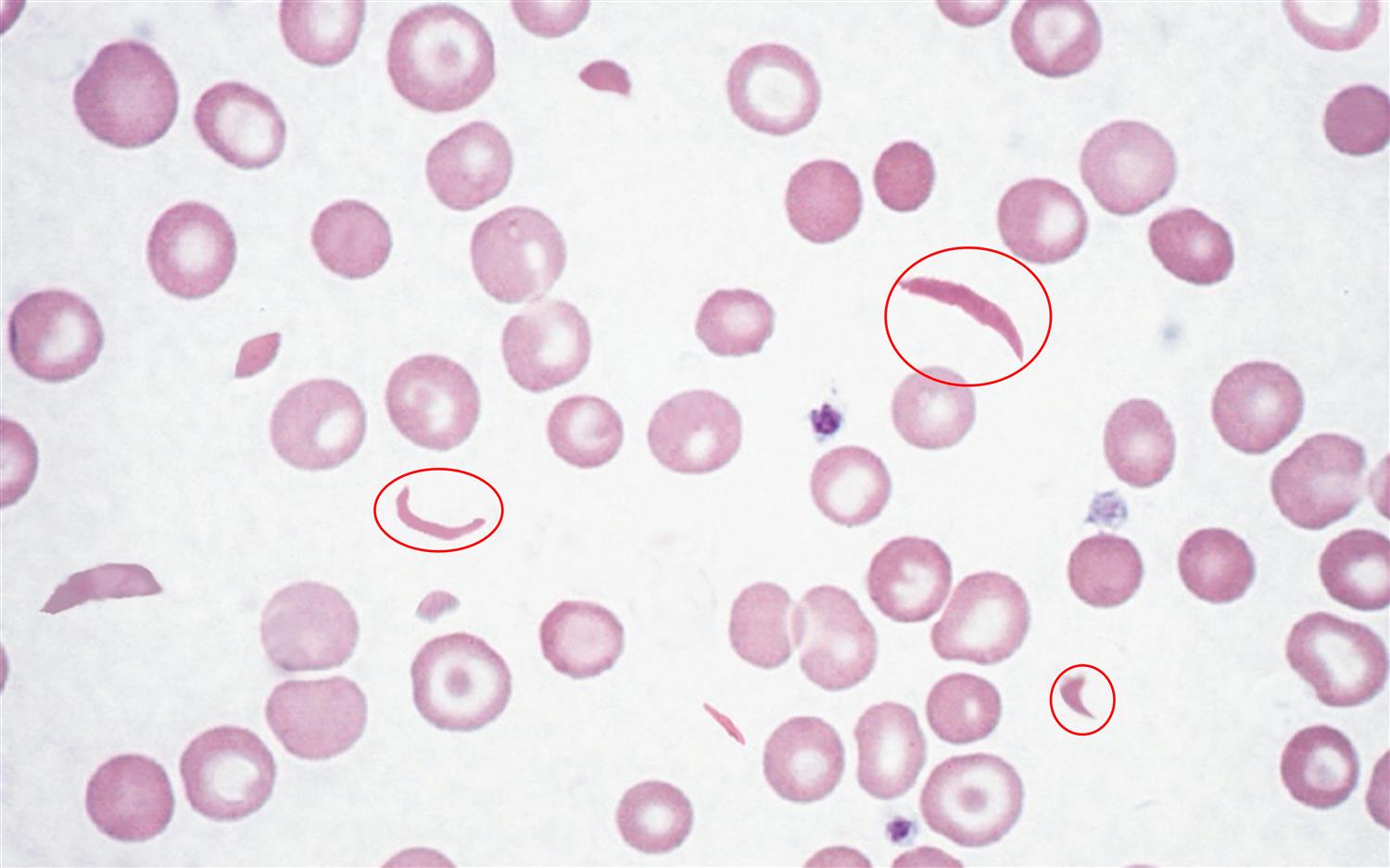
A 9-year-old boy is brought to the emergency department with a 2-day history of high-grade fevers. He recently returned from a vacation on a Caribbean cruise when he started complaining of neck pain. He initially felt better with over-the-counter medications; however, he started developing fevers and chills along with increasing confusion and lethargy. His temperature is 103.5°F (39.4°C), blood pressure is 95/55 mmHg, pulse is 110/min, and respirations are 25/min. He was born at term with no complications. He has not seen a physician for several years and is not up to date on his vaccinations. The boy is confused. He has neck rigidity and his cervical range of motion is limited by pain. The remainder of the physical exam shows no abnormalities. A peripheral blood smear is performed, and the results are shown in Figure A. Which of the following pathogens is the most likely cause of this patient’s symptoms?
  • A

Neisseria meningitidis

0%

0/0

Non-typeable Haemophilus influenza

0%

0/0

Salmonella paratyphi

0%

0/0

Staphylococcus aureus

0%

0/0

Streptococcus pneumoniae

0%

0/0

  • A

Select Answer to see Preferred Response

This patient with sickle cell disease who presents with high fever, confusion, irritability, and meningismus most likely has bacterial meningitis. In patients with sickle cell disease, the most common pathogen causing meningitis is Streptococcus pneumoniae.

Children with sickle cell disease are at increased risk of infection with encapsulated organisms such as Streptococcus pneumoniae, Neisseria meningitidis, Haemophilus influenzae type b, and Salmonella species due to functional asplenia from recurrent splenic infarctions. Of all these encapsulated organisms, S. pneumoniae is the most common cause of meningitis and sepsis in children with sickle cell disease. The pneumococcal polysaccharide vaccine PPSV23 helps prevent infection with S. pneumoniae in children with sickle cell disease and is administered in 2 doses, at 2 years of age and 3-5 years of age, respectively. Treatment of patients with suspected S. pneumoniae meningitis in healthy adults consists of empiric therapy with ceftriaxone, vancomycin, and dexamethasone until cerebrospinal fluid cultures return.

Pelkonen et al. reviewed the data regarding pediatric bacterial meningitis infections in Angola. They discuss how patients with sickle cell disease had a higher mortality rate and longer hospital stays than pediatric bacterial meningitis patients without sickle cell disease. They recommend increased public health efforts for early diagnosis of sickle cell disease.

Figure/Illustration A is a peripheral blood smear demonstrating sickled red blood cells (red circles). These cells are pathognomonic for sickle cell disease.

Incorrect Answers:
Answer 1: Neisseria meningitidis is also an encapsulated organism with a high propensity for infection in patients with sickle cell disease; however, it is not the most common cause of meningitis in patients with sickle cell disease. This patient lacks other common findings of this infection, such as myalgias or a petechial rash.

Answer 2: Non-typeable Haemophilus influenzae is an unencapsulated strain of Haemophilus which causes otitis media, conjunctivitis, and bronchitis. It is often confused with H. influenzae type b, which is an encapsulated organism that can cause meningitis and sepsis in patients with sickle cell disease.

Answer 3: Salmonella paratyphi is a common cause of osteomyelitis in patients with sickle cell disease, which would present with fever, malaise, and localized bone tenderness and swelling.

Answer 4: Staphylococcus aureus is an unencapsulated organism that can cause meningitis; however, it is not the most common cause of meningitis in patients with sickle cell disease.

Bullet Summary:
The most common cause of meningitis in patients with sickle cell disease is Streptococcus pneumoniae.

ILLUSTRATIONS:
REFERENCES (1)
Authors
Rating
Please Rate Question Quality

0.0

  • star icon star icon star icon
  • star icon star icon star icon
  • star icon star icon star icon
  • star icon star icon star icon
  • star icon star icon star icon

(0)