Please confirm topic selection

Are you sure you want to trigger topic in your Anconeus AI algorithm?

Please confirm action

You are done for today with this topic.

Would you like to start learning session with this topic items scheduled for future?

Review Question - QID 221239

In scope icon N/A
QID 221239 (Type "221239" in App Search)
A 1-day-old boy is evaluated in the newborn nursery for several episodes of vomiting. He was born at 37 weeks gestational age to a 29-year-old woman via an uncomplicated vaginal delivery. Apgar scores were 8 and 9 at 1 and 5 minutes, respectively. The pregnancy was uncomplicated, other than a 1-week episode of low-grade fever and swollen lymph nodes early in the pregnancy. Medications during pregnancy included folic acid and a multivitamin. The mother is up to date on all immunizations. His temperature is 98.6°F (37.0°C), blood pressure is 60/40 mmHg, pulse is 140/min, and respirations are 42/min. The infant is at the 99th percentile for head circumference, 15th percentile for length, and 15th percentile for weight. He has several purpuric lesions on his trunk and extremities and a fundoscopic exam shows pigmented macular lesions. A CT scan demonstrates the findings shown in Figure A. Which of the following congenital infections is the most likely diagnosis?
  • A

Cytomegalovirus

0%

0/0

Rubella

0%

0/0

Syphilis

0%

0/0

Toxoplasmosis

0%

0/0

Varicella

0%

0/0

  • A

Select Answer to see Preferred Response

This infant, who presents with a purpuric rash, chorioretinitis, signs of hydrocephalus, and diffuse intracranial calcifications on imaging, most likely has congenital toxoplasmosis infection.

Maternal toxoplasmosis is usually asymptomatic but may present with generalized symptoms such as low-grade fever and lymphadenopathy. Primary transplacental transmission occurs when the mother is infected, usually after the first trimester. Risk factors for toxoplasmosis, a classic "TORCH" infection, include consumption of undercooked meat, ingestion of contaminated cat feces, or consumption of unpasteurized goat’s milk. Infants with congenital toxoplasmosis classically present with the triad of chorioretinitis, intracranial calcifications, and hydrocephalus. Signs of hydrocephalus include lethargy, vomiting, seizures, enlarged head circumference, and ventriculomegaly. Jaundice, sensorineural hearing loss, low birth weight, hepatosplenomegaly, and a “blueberry muffin rash” may also be seen. Treatment includes pyrimethamine and sulfadiazine, along with folinic acid to prevent bone marrow suppression.

Fortin et al. review the evidence regarding outcomes in children born with congenital or perinatal infections. They discuss how, even in the absence of symptoms at birth, children exposed to many infections in utero may be at greater risk for developing neurodevelopmental disorders in childhood. They recommend that congenital infections should be considered in the differential diagnosis of a child with neurodevelopmental challenges.

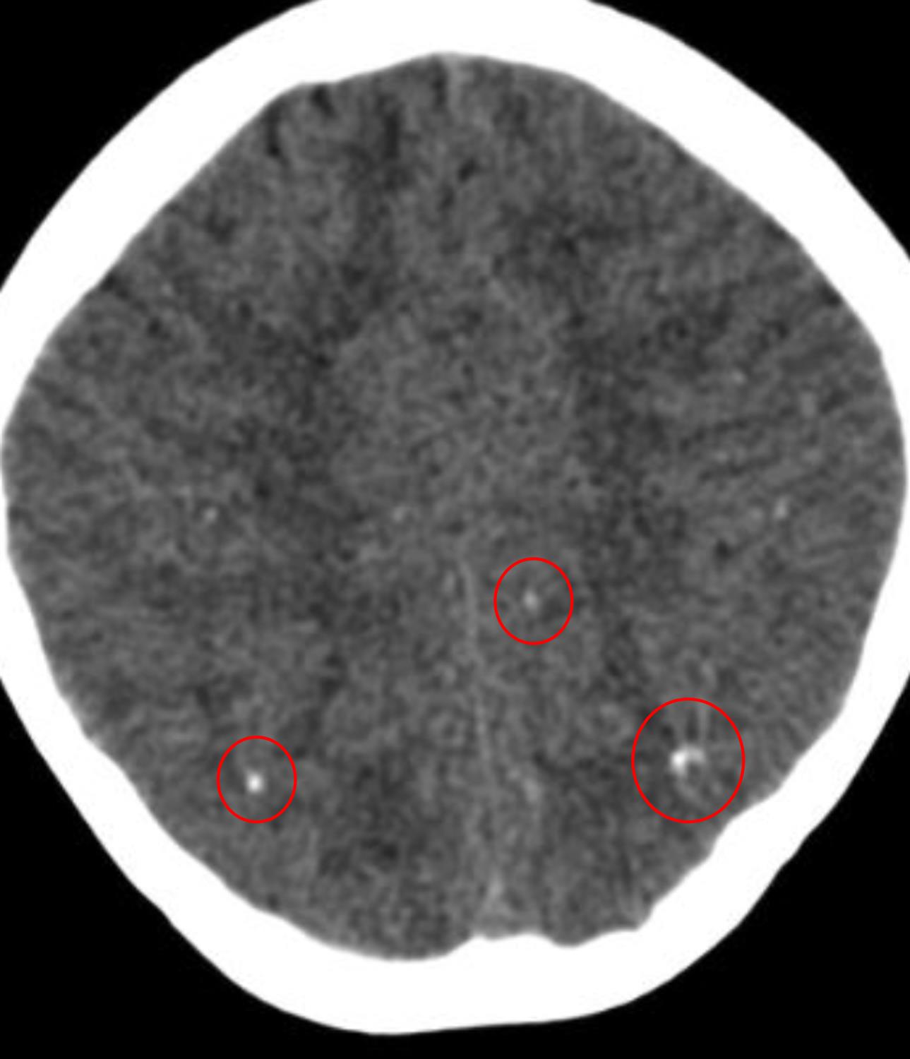
Figure/Illustration A is a head CT demonstrating diffuse calcifications inside the brain parenchyma (red circles). These findings are consistent with congenital toxoplasmosis infection.

Incorrect Answers:
Answer 1: Congenital cytomegalovirus infection would similarly present with seizures, sensorineural deafness, jaundice, chorioretinitis, a purpuric rash, and low birth weight; however, imaging classically shows periventricular calcifications and microcephaly.

Answer 2: Congenital rubella infection would also present with low birth weight, a purpuric rash, chorioretinitis, and hydrocephalus; however, other key distinguishing features of congenital rubella infection are lacking, such as cardiac defects and cataracts. Additionally, this infant’s mother is up-to-date on immunizations, making an intrauterine rubella infection unlikely.

Answer 3: Congenital syphilis infection may present similarly with premature delivery, low birth weight, jaundice, seizures, and chorioretinitis; however, this patient lacks other characteristic findings of congenital syphilis such as facial abnormalities, including saddle nose and notched teeth, and skeletal deformities such as saber shins.

Answer 5: Congenital varicella infection may also present with low birth weight, chorioretinitis, and seizures, but is less likely in this infant born to a mother with up-to-date immunizations.

Bullet Summary:
Congenital toxoplasmosis presents with the triad of chorioretinitis, hydrocephalus, and intracranial calcifications along with sensorineural deafness, jaundice, and a “blueberry muffin rash.”

ILLUSTRATIONS:
REFERENCES (1)
Authors
Rating
Please Rate Question Quality

5.0

  • star icon star icon star icon
  • star icon star icon star icon
  • star icon star icon star icon
  • star icon star icon star icon
  • star icon star icon star icon

(1)