Please confirm topic selection

Are you sure you want to trigger topic in your Anconeus AI algorithm?

Please confirm action

You are done for today with this topic.

Would you like to start learning session with this topic items scheduled for future?

Review Question - QID 221230

In scope icon N/A
QID 221230 (Type "221230" in App Search)
A 7-year-old boy is brought to his pediatrician by his mother with a 3 month history of headaches. His mother first started complaining of headaches after he had an upper respiratory infection. Since then, the patient has been having increasingly frequent headaches that are worse in the morning and when lying down. He has also had occasional nausea and vomiting. Over the past month, he has had increasing difficulty sitting upright and an unsteady gait. He has not had fevers or chills. He has no prior medical problems and takes no medications. His temperature is 98.6°F (37.0°C), blood pressure is 106/69 mmHg, pulse is 95/min, and respirations are 21/min. On examination, the patient has truncal ataxia and dysmetria on finger-nose-finger testing. Magnetic resonance imaging of the head is performed and the results are shown in Figure A. Which of the following findings would be expected on histopathologic examination of this patient’s lesion?
  • A

Cholesterol crystals in dark brown fluid

0%

0/0

Eosinophilic, corkscrew fibers

0%

0/0

Large pleomorphic multinucleated balloon cells

0%

0/0

Neuroblasts surrounding a core of neurites

0%

0/0

Perivascular pseudorosettes

0%

0/0

  • A

Select Answer to see Preferred Response

This patient who presents with morning headaches worse with lying down, ataxia, dysmetria, and a cerebellar lesion with both solid and cystic components most likely has a pilocytic astrocytoma. A histopathologic examination of these tumors would show eosinophilic, corkscrew fibers known as Rosenthal fibers.

Pilocytic astrocytomas are low-grade astrocytomas that are the most common primary brain tumor in childhood. Pilocytic astrocytomas can be associated with neurofibromatosis type 1, but may also arise sporadically. In idiopathic settings, it is usually associated with mutations in the mitogen-activated protein kinase pathway. These tumors are most often found in the cerebellum and can present with signs of hydrocephalus, seizures, and cerebellar signs. On neuroimaging, these tumors usually have both cystic and solid components. As these tumors are generally circumscribed and rarely invasive, surgical resection is the standard treatment. Radiation therapy and chemotherapy are usually reserved for recurrence.

Salles et al. reviewed the epidemiology, clinical presentation, imaging findings, histologic findings, and molecular characteristics of pilocytic astrocytomas. They discuss how mitoses, necrosis, and Rosenthal fibers are the most common histologic findings in these tumors. They recommended that molecular techniques such as polymerase chain reaction and fluorescent in situ hybridization be used in the detection of characteristic molecular alterations in these tumors.

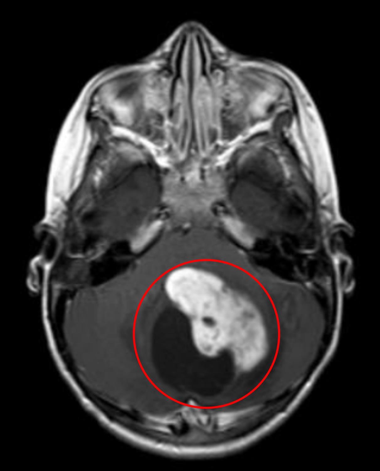
Figure/Illustration A is an MRI of the brain demonstrating a lesion with both solid and cystic components (red circle). These findings are classically seen in patients with a pilocytic astrocytoma.

Incorrect Answers:
Answer 1: Cholesterol crystals in dark brown fluid are characteristically found in craniopharyngiomas. Craniopharyngiomas are derived from Rathke pouch ectoderm and are the most common childhood supratentorial tumor. The most common symptom is bitemporal hemianopsia due to their position in the sella that compresses the optic chiasm. They are often calcified on imaging.

Answer 3: Large pleomorphic multinucleated balloon cells are characteristic findings in subependymal giant cell astrocytomas. These benign, indolent glial tumors are highly associated with tuberous sclerosis and usually arise in the periventricular area. On imaging, they are usually enhancing, heterogeneous masses in the lateral ventricle near the foramen of Munro.

Answer 4: Neuroblasts surrounding a core of neurites describe Homer-Wright rosettes, a characteristic finding in medulloblastomas. Medulloblastoma is a primitive neuroectodermal tumor and is the most common malignant brain tumor of childhood. It commonly involves the cerebellum and can compress the 4th ventricle, leading to obstructive hydrocephalus. Medulloblastomas are usually heterogeneous, avidly enhancing, solid masses on neuroimaging.

Answer 5: Perivascular pseudorosettes are found in ependymomas. This childhood primary brain malignancy is most commonly found in the 4th ventricle and can also cause obstructive hydrocephalus. Ependymomas are usually heterogeneous enhancing masses that may occasionally show cystic change. Posterior fossa ependymomas arise directly from the ventricular lining, not the cerebellum. Therefore, ependymomas tend to fill the ventricles with extension into the adjacent basal cisterns instead of compressing the ventricles.

Bullet Summary:
Pilocytic astrocytoma has both solid and cystic components and will show eosinophilic corkscrew fibers on histopathology.

ILLUSTRATIONS:
REFERENCES (1)
Authors
Rating
Please Rate Question Quality

5.0

  • star icon star icon star icon
  • star icon star icon star icon
  • star icon star icon star icon
  • star icon star icon star icon
  • star icon star icon star icon

(1)