Please confirm topic selection

Are you sure you want to trigger topic in your Anconeus AI algorithm?

Please confirm action

You are done for today with this topic.

Would you like to start learning session with this topic items scheduled for future?

Review Question - QID 221216

QID 221216 (Type "221216" in App Search)
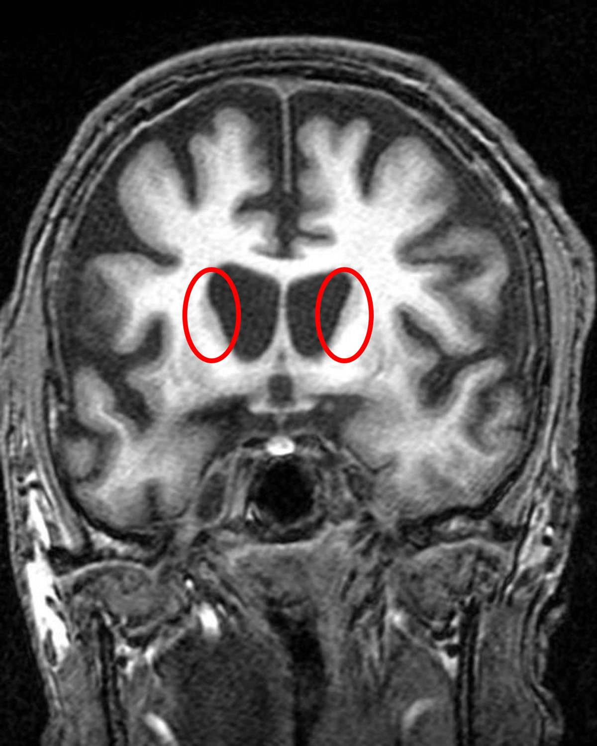
A 51-year-old man presents to his primary care physician with a 3 month history of motor difficulties. He first noticed that he was dropping items occasionally but this has progressed to impairing daily activities. His wife has also noticed that he makes writhing movements with his arms when he is distracted and that he has become more irritable and less interactive with his family and friends. He has a medical history of hypertension and hyperlipidemia for which he takes lisinopril and simvastatin. His temperature is 98.6°F (37°C), blood pressure is 135/74 mmHg, pulse is 85/min, respirations are 14/min, and oxygen saturation is 98% on room air. A neurological examination is remarkable for involuntary movements affecting his bilateral upper extremities. He appears apathetic and has impaired organization and planning on cognitive testing. An MRI of his brain is demonstrated in Figure A. Which of the following is the most likely cause of this patient's symptoms?
  • A

Alpha-synuclein inclusion

0%

0/0

Beta-amyloid deposition

0%

0/0

CAG trinucleotide expansion

0%

0/0

Protease resistant beta-pleated sheets

0%

0/0

TDP-43 accumulation

0%

0/0

  • A

Select Answer to see Preferred Response

This patient with chorea-like movements, mood disturbances, impaired executive function, and caudate atrophy on MRI, most likely has Huntington disease. Huntington disease is caused by a CAG trinucleotide expansion on chromosome 4.

Huntington disease is an autosomal dominant neurodegenerative disorder that results in chorea, neuropsychiatric abnormalities, and cognitive dysfunction. The average age of onset is between 40-50. This neurodegenerative disorder results from unstable CAG trinucleotide repeats on chromosome 4. This trinucleotide repeat synthesizes a polyglutamine tract that is resistant to degradation, leading to the formation of cytoplasmic aggregates that result in the degeneration of neurons. MRI of the brain classically demonstrates caudate atrophy. The diagnosis is confirmed with genetic testing. There is currently no disease-modifying treatment for Huntington disease, and treatment is directed at the symptoms that impair quality of life. For example, chorea movements can be treated with tetrabenazine.

Walker reviews the evidence with regard to the diagnosis of Huntington disease. He discusses how this disease is caused by a toxic gain-of-function mutation due to the CAG trinucleotide repeat on chromosome 4. He recommends supportive treatment, as there is no cure for this disease.

Figure/Illustration A is a coronal MRI that demonstrates prominent caudate atrophy (red circle). This finding is characteristically seen in a patient with Huntington disease.

Incorrect Answers:
Answer 1: Alpha-synuclein inclusion is seen in Parkinson disease and dementia with Lewy bodies. These neurodegenerative disorders present with bradykinesia, rigidity, postural instability, and resting tremor. Dementia with Lewy body classically presents with visual hallucinations, fluctuating cognition, and REM sleep disturbances.

Answer 2: Beta-amyloid deposition is seen in Alzheimer disease, the most common form of dementia in the United States. Patients present with impaired episodic memory and visuospatial and language deficits. Patients have generalized cerebral atrophy prominently affecting the hippocampus.

Answer 4: Protease resistant beta-pleated sheets are seen in Creutzfeldt-Jakob disease, a neurodegenerative rapidly progressive dementia. Patients are found to have startle myoclonus, and periodic sharp waves are seen on an electroencephalogram. CSF analysis will demonstrate an increase in 14-3-3 protein levels.

Answer 5: TDP-43 accumulation is seen in frontotemporal dementia. Behavioral variant frontotemporal dementia presents with disinhibition and impaired executive functioning. MRI demonstrates atrophy of the frontal and temporal lobes.

Bullet Summary:
Huntington disease is a neurodegenerative disorder caused by CAG trinucleotide expansion.

ILLUSTRATIONS:
REFERENCES (1)
Authors
Rating
Please Rate Question Quality

0.0

  • star icon star icon star icon
  • star icon star icon star icon
  • star icon star icon star icon
  • star icon star icon star icon
  • star icon star icon star icon

(0)