Please confirm topic selection

Are you sure you want to trigger topic in your Anconeus AI algorithm?

Please confirm action

You are done for today with this topic.

Would you like to start learning session with this topic items scheduled for future?

Review Question - QID 221105

In scope icon N/A
QID 221105 (Type "221105" in App Search)
A 32-year-old man presents to the emergency room with a 2 week history of dry cough. He first noticed the symptoms after returning from a Caribbean vacation, but they have progressively worsened since then. Now he has shortness of breath and severe fatigue. He has lost 5 pounds during that time without any changes to his habits. His past medical history is significant for alcohol use disorder and human immunodeficiency virus (HIV) infection. He has medications but that they are too much work to take regularly. He previously used cocaine but stopped 3 years ago. His temperature is 100.4°F (38°C), blood pressure is 119/75 mmHg, pulse is 75/min, respirations are 19/min, and O2 saturation is 89% on room air. A physical exam is notable for bilateral, diffuse crackles on chest auscultation. His jugular venous pressure is 8 cm and no peripheral edema is noted. Laboratory testing shows:

Hemoglobin: 11.4 g/dL
Leukocyte count: 5,100/mm^3
Platelet count: 198,000/mm^3
CD4+ T cell count: 148 cells/mm^3
Lactate dehydrogenase (LDH): 1,100 IU/L

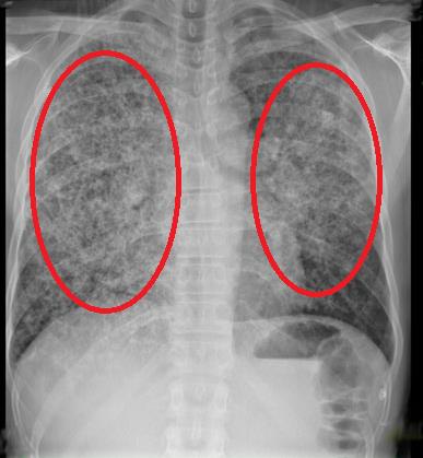
A chest radiograph is performed and is shown in Figure A. Which of the following is the most accurate test to diagnose this patient’s condition?
  • A

Bronchoalveolar lavage

0%

0/2

Echocardiogram

0%

0/2

Expectorant polymerase chain reaction

100%

2/2

Serum antibody assay

0%

0/2

Serum beta-glucan assay

0%

0/2

  • A

Select Answer to see Preferred Response

This patient who presents with dry cough, shortness of breath, hypoxia, and increased serum LDH in the setting of poorly controlled HIV most likely has Pneumocystis jirovecii pneumonia (PJP). The most accurate test to diagnose PJP is direct identification of the organism via bronchoalveolar lavage.

Pneumocystis jirovecii is an opportunistic organism that causes pneumonia in immunosuppressed patients. In particular, a CD4 count < 200 cells/uL are at high risk of PJP. It presents with fever, malaise, dyspnea, non-productive cough, weight loss, and chills. Important markers for this condition include elevated LDH, elevated 1-3-beta-d-glucan, and decreased CD4 count. As Pneumocystis cannot be cultured, definitive diagnosis of PJP requires identification of the organism using histopathology or cytopathology with methenamine silver or immunofluorescence on a bronchoalveolar lavage. Molecular testing with polymerase chain reaction (PCR) can also be used, but this method cannot routinely distinguish between colonization and active disease. The treatment of choice for PJP is high dose trimethoprim/sulfamethoxazole for 21 days. In hypoxic patients with HIV, adjunctive glucocorticoids should be initiated as soon as possible.

Tasaka reviews the diagnosis and management of Pneumocystis pneumonia. He discusses how definitive diagnosis of PJP requires detecting the organism by PCR assay, dye staining, or fluorescein antibody staining of respiratory samples. He recommends empiric treatment of PJP in high-risk patients.

Figure/Illustration A is a chest radiograph showing bilateral opacities consistent with infiltrates (red circles). These findings can be seen in a patient with Pneumocystis pneumonia.

Incorrect Answers:
Answer 2: An echocardiogram would help identify heart failure. This patient has some features consistent with heart failure, including a cough, shortness of breath, chest radiograph showing pulmonary edema, hypoxia, and a history of cocaine use. This patient’s elevated serum LDH, lack of peripheral edema, and poor compliance with anti-retroviral therapy make PJP more likely.

Answer 4: Expectorant polymerase chain reaction can aid in the diagnosis of PJP; however, it cannot distinguish between colonization and disease. Spontaneously expectorated sputum has much poorer sensitivity for PJP; induced sputum should be used instead. Therefore, although more invasive, microscopy of bronchoalveolar lavage is a more specific and accurate test.

Answer 4: A serum antibody assay would be useful to detect anti-glomerular basement membrane antibody (GBM). This test can be used to diagnose Goodpasture syndrome (anti-GBM disease). Goodpasture syndrome is a small vessel vasculitis that affects the capillary beds of the kidneys and the lungs. It can present with hemoptysis, dyspnea, fatigue, peripheral edema, and hematuria.

Answer 5: A serum beta-glucan assay can be used to support the diagnosis of PJP. False negatives can occur in immunosuppressed patients, and false positives may be seen in infections with other fungi, such as histoplasmosis or aspergillosis.

Bullet Summary:
Microscopy on a sample obtained from bronchoalveolar lavage or induced sputum can be used to diagnose Pneumocystis pneumonia.

ILLUSTRATIONS:
REFERENCES (1)
Authors
Rating
Please Rate Question Quality

0.0

  • star icon star icon star icon
  • star icon star icon star icon
  • star icon star icon star icon
  • star icon star icon star icon
  • star icon star icon star icon

(0)