Please confirm topic selection

Are you sure you want to trigger topic in your Anconeus AI algorithm?

Please confirm action

You are done for today with this topic.

Would you like to start learning session with this topic items scheduled for future?

Review Question - QID 220782

In scope icon N/A
QID 220782 (Type "220782" in App Search)
A 26-year-old man presents to the emergency department with a 3-day history of fever and malaise. He says that the fever started after he came back from a bachelor party and admits to using intravenous drugs while partying during that trip. He has no significant medical history and does not take any medications. He is a graduate student and has between 10 and 15 drinks per week. He has no smoking history and intermittently uses intravenous drugs. His temperature is 102.2°F (39°C), blood pressure is 106/67 mmHg, pulse is 103/min, and respirations are 16/min. A physical exam reveals injection marks on his arms bilaterally. Cardiac auscultation reveals a high-pitched holosystolic murmur best heard at the left lower sternal border. A CT scan is obtained, and the results are shown in Figure A. After obtaining blood cultures, which of the following is the most appropriate initial treatment for this patient?
  • A

Gentamicin and ceftriaxone

0%

0/3

Vancomycin and cefepime

33%

1/3

Vancomycin and gentamicin

0%

0/3

Vancomycin, gentamicin, and cefepime

33%

1/3

Vancomycin, gentamicin, and ceftriaxone

33%

1/3

  • A

Select Answer to see Preferred Response

This patient, who presents with a history of intravenous drug use, persistent fever, malaise, a murmur consistent with tricuspid regurgitation, and a CT scan with septic emboli, most likely has acute bacterial endocarditis. The empiric treatment for this disease in a patient with native valves is vancomycin and cefepime.

Acute bacterial endocarditis of the tricuspid valve is most commonly caused by Staphylococcus aureus in patients who use intravenous drugs. It will present several days after exposure with persistent fevers, malaise, fatigue, and a new murmur. The major criteria for diagnosing this disease (Duke criteria) include 2 sets of positive blood cultures drawn > 12 hours apart or an abnormal echocardiogram with vegetations. Minor criteria include fever, vascular phenomena such as Janeway lesions and splinter hemorrhages, immunologic phenomena such as Osler nodes and Roth spots, or cultures/echocardiogram findings that don't meet major criteria. Treatment for patients with acute endocarditis caused by Staph aureus is vancomycin with broader coverage upon arrival often with a cephalosporin such as cefepime.

Small and Chambers review the evidence regarding the use of vancomycin in the treatment of bacterial endocarditis. They discuss how vancomycin and nafcillin both have activity against these organisms. They recommend aggressive treatment of these infections.

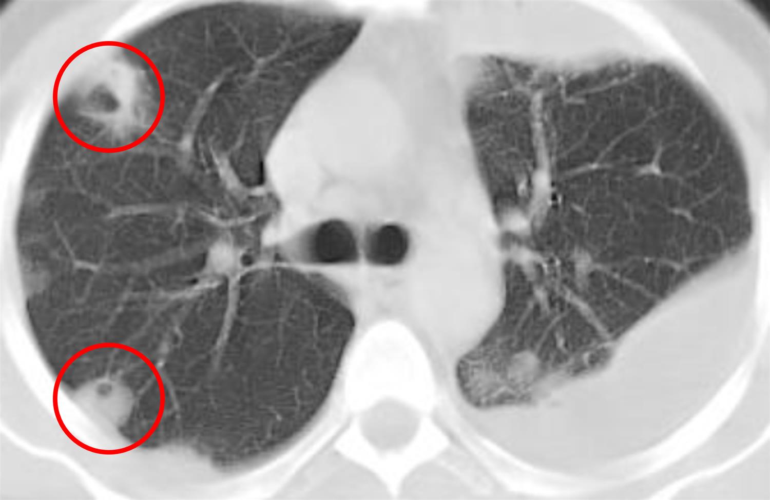
Figure/Illustration A is a CT scan of the chest demonstrating septic emboli (red circles). These findings are consistent with endocarditis caused by Staph aureus.

Incorrect Answers:
Answer 1: Gentamicin and ceftriaxone are the treatments of choice for subacute bacterial endocarditis. This disease is characterized by a slower onset (weeks to months) and less severe symptoms. This patient with intravenous drug use and acute onset symptoms most likely has septic emboli from Staph aureus.

Answer 3: Vancomycin and gentamicin are the treatments of choice for acute endocarditis in stable patients with prosthetic valve replacements. This patient does not have any history of prosthetic valves.

Answer 4: Vancomycin, gentamicin, and cefepime are the treatment of choice for acute endocarditis in severely ill patients with prosthetic valve replacements. This patient does not have any history of prosthetic valves.

Answer 5: Vancomycin, gentamicin, and ceftriaxone are the treatment of choice for acute endocarditis in patients with long-term prosthetic valves. This patient does not have any history of prosthetic valves.

Bullet Summary:
Acute bacterial endocarditis in patients with native valves can be treated with vancomycin as well as empiric coverage with an agent such as cefepime or piperacillin-tazobactam.

ILLUSTRATIONS:
REFERENCES (1)
Authors
Rating
Please Rate Question Quality

0.0

  • star icon star icon star icon
  • star icon star icon star icon
  • star icon star icon star icon
  • star icon star icon star icon
  • star icon star icon star icon

(0)