Please confirm topic selection

Are you sure you want to trigger topic in your Anconeus AI algorithm?

Please confirm action

You are done for today with this topic.

Would you like to start learning session with this topic items scheduled for future?

Review Question - QID 220685

In scope icon N/A
QID 220685 (Type "220685" in App Search)
A 71-year-old man presents to urgent care with a 1-week history of increasing pain in his right leg. He first noticed the pain after he went on a hike with his wife. After returning home, he felt some pain in his right leg that has gotten worse over time. He has tried acetaminophen and rest with some relief, but it has not resolved. His medical history is significant for chronic kidney failure for which he is on dialysis. He does not drink and does not smoke. His temperature is 98.6°F (37°C), blood pressure is 116/72 mmHg, pulse is 75/min, and respirations are 14/min. Physical exam reveals pain in the right groin with weight bearing. Labs are obtained with the following results:

Serum:
Ca2+: 7.8 mg/dL
PO4-: 6.1 mg/dL

A radiograph is shown in Figure A. Which of the following is the most likely cause of this patient's symptoms?
  • A

Osteopetrosis

0%

0/0

Osteoporosis

0%

0/0

Primary hyperparathyroidism

0%

0/0

Renal osteodystrophy

0%

0/0

Vitamin D deficiency

0%

0/0

  • A

Select Answer to see Preferred Response

This patient who presents with a low-energy femoral neck lucency in the setting of hyperphosphatemia, hypocalcemia, and chronic kidney failure most likely has renal osteodystrophy.

Renal osteodystrophy represents a spectrum of diseases seen in patients with chronic renal disease. It is characterized by bone mineralization deficiency due to electrolyte and endocrine abnormalities. High turnover renal osteodystrophy is classically associated with significantly increased phosphate release from the bones to the serum. Chronic renal disease leads to a decrease in renal phosphorus excretion, which leads to phosphate retention and a significant increase in serum phosphate levels. These increased phosphate levels complex with calcium and result in decreased calcium levels. This in turn causes tertiary hyperparathyroidism.

Tejwani et al. review the evidence regarding the diagnosis and treatment of renal osteodystrophy. They discuss how high-turnover renal osteodystrophy results in increased parathyroid hormone production. They recommend medical intervention in order to normalize the underlying calcium and phosphate levels.

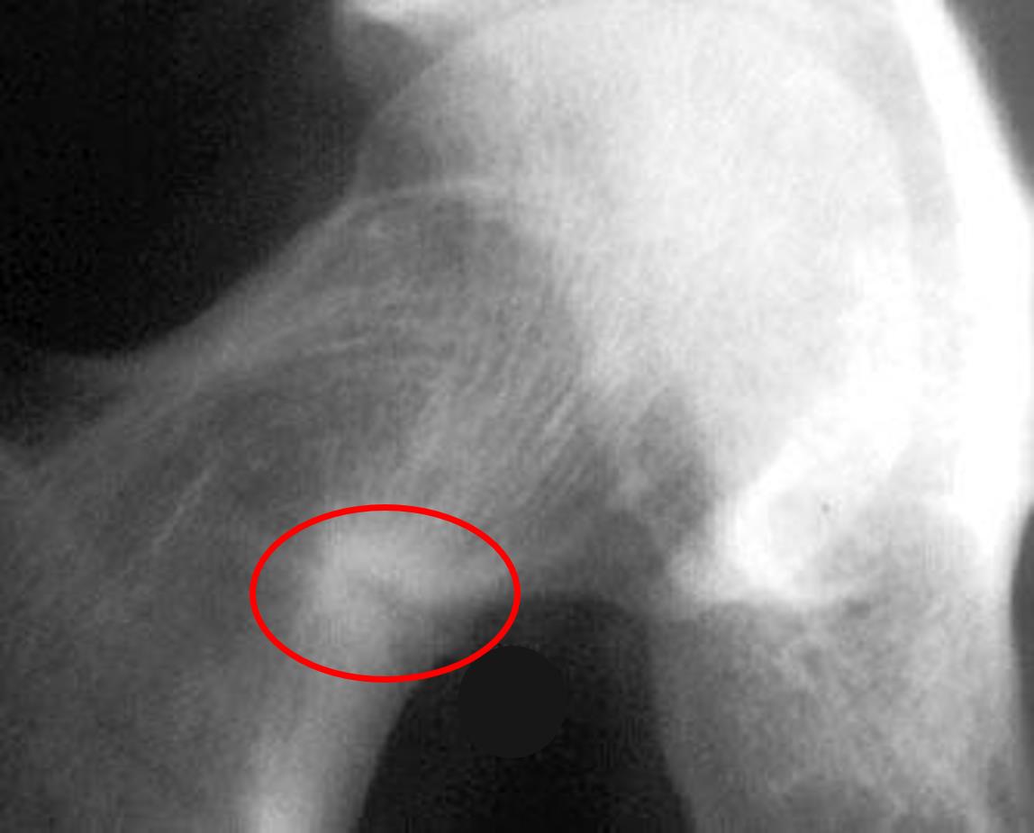
Figure/Illustration A is a radiograph demonstrating lucency in the inferior aspect of the femoral neck (red circle). These findings are known as Looser lines and are consistent with renal osteodystrophy.

Incorrect Answers:
Answer 1: Osteopetrosis would present with hyperdense bones. While this can result in femoral neck fractures, the calcium and phosphate levels would be normal. Treatment includes fixation of fractures and bone marrow transplant.

Answer 2: Osteoporosis would present with decreased bone mineral density that can lead to fragility fractures. This disease is primarily found in elderly women with nutritional deficiencies. Calcium and phosphate levels are typically normal in these patients. Treatment may include bisphosphonates.

Answer 3: Primary hyperthyroidism can also result in bony lesions due to abnormal mineralization of the skeleton. Patients will characteristically have brown tumors. The calcium level will be high and the phosphate level will be low. Treatment is with removing the source of parathyroid hormone production.

Answer 5: Vitamin D deficiency can also result in fragility fractures due to abnormal mineralization of bone. These patients would present with low levels of both calcium and phosphate because of decreased absorption through the gastrointestinal system. Treatment includes vitamin D repletion.

Bullet Summary:
Renal osteodystrophy would present with low calcium, high phosphate, and low energy fractures.

ILLUSTRATIONS:
REFERENCES (1)
Authors
Rating
Please Rate Question Quality

3.7

  • star icon star icon star icon
  • star icon star icon star icon
  • star icon star icon star icon
  • star icon star icon star icon
  • star icon star icon star icon

(3)