Please confirm topic selection

Are you sure you want to trigger topic in your Anconeus AI algorithm?

Please confirm action

You are done for today with this topic.

Would you like to start learning session with this topic items scheduled for future?

Review Question - QID 220680

In scope icon N/A
QID 220680 (Type "220680" in App Search)
A 35-year-old man presents to the emergency room with a 2 day history of frequent nosebleeds. He reports a constant pounding headache over the same timeframe. His wife believes he has seemed “off” lately, frequently forgetting recent events and the names of his friends. His medical history is notable for hypertension and rheumatoid arthritis for which he takes methotrexate. He smokes 1 pack per day and drinks 2-3 beers per day. His temperature is 101.1°F (37.3°C), blood pressure is 145/90 mmHg, pulse is 110/min, and respirations are 18/min. On exam, he appears pale and diaphoretic. Labs are obtained with the following results:

Hemoglobin: 8.9 g/dL
Hematocrit: 26%
Leukocyte count: 4,900/mm^3 with normal differential
Platelet count: 25,000/mm^3

Prothrombin time: 14 seconds
Partial thromboplastin time (activated): 27 seconds
International normalized ratio: 1.1
Bleeding time: 9 minutes

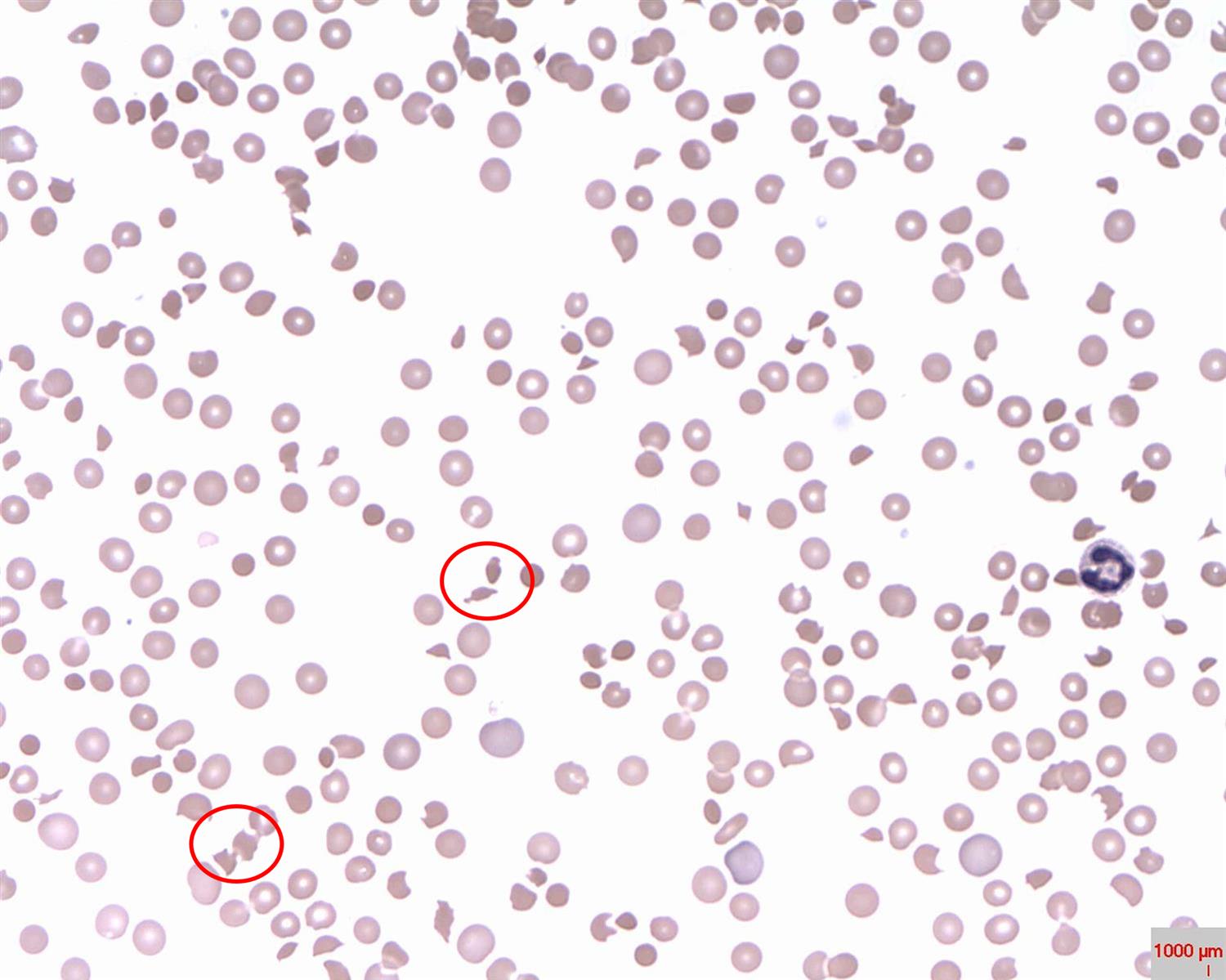
A blood smear is obtained and shown in Figure A. This patient has a condition that is caused by a defect in which of the following processes?
  • A

Metalloproteinase-mediated protein degradation

0%

0/0

Nucleotide excision repair

0%

0/0

Platelet binding to fibrinogen

0%

0/0

Platelet binding to von Willebrand factor

0%

0/0

Porphobilinogen metabolism

0%

0/0

  • A

Select Answer to see Preferred Response

This patient with anemia, thrombocytopenia, fever, and confusion likely has thrombotic thrombocytopenic purpura. TTP is caused by a defect in ADAMTS13, a metalloproteinase that degrades von Willebrand factor multimers into monomers.

Thrombotic thrombocytopenic purpura (TTP) is a disease due to the congenital or acquired loss of function of ADAMTS13, a metalloprotease that cleaves von Willebrand Factor (vWF) multimers. When uncleaved, these multimers trap and activate platelets, leading to thrombosis and the consumption of platelets. These small blood clots lead to the shearing of red blood cells, resulting in microangiopathic hemolytic anemia and the formation of schistocytes. Findings of microangiopathic hemolytic anemia include elevated LDH and decreased haptoglobin. Patients will have increased bleeding time due to thrombocytopenia but a normal PT and PTT. TTP is classically associated with renal failure, neurologic manifestations such as headaches and confusion, and fever. Acquired causes of TTP frequently include autoantibodies. Treatment includes plasma exchange.

Joly et al. review the evidence regarding the diagnosis and treatment of TTP. They discuss how this disease presents with fever, anemia, and thrombocytopenia. They recommend treatment with plasma exchange.

Figure/Illustration A is a peripheral blood smear that demonstrates numerous schistocytes (red circles). This finding is consistent with microangiopathic hemolytic anemia.

Incorrect Answers:
Answer 2: Nucleotide excision repair is a type of DNA repair. Xeroderma pigmentosum is a genetic disorder characterized by hypersensitivity to ultraviolet light that is caused by defective nucleotide excision repair.

Answer 3: Platelet binding to fibrinogen is mediated by the Gp2b/3a receptor. Glanzmann thrombasthenia is an inherited platelet disorder caused by a deficiency in the Gp2b/3a receptor. This receptor is on the surface of platelets and binds to fibrinogen, allowing multiple platelets to bind to the same fibrinogen molecule and promoting platelet aggregation. A deficiency in the Gp2b/3a receptor leads to impaired platelet aggregation. It presents with prolonged bleeding time and easy bleeding.

Answer 4: Platelet binding to von Willebrand factor is mediated by the GP1b receptor. Bernard-Soulier disease is an inherited platelet disorder caused by a deficiency in the GP1b receptor. This receptor is on the surface of platelets and binds to vWF on the endothelial surface. A deficiency in GP1b subsequently leads to impaired platelet adhesion. It presents with thrombocytopenia and easy bleeding.

Answer 5: Porphobilinogen metabolism is an important part of the heme synthesis pathway. Acute intermittent porphyria is a metabolic disease caused by defective porphobilinogen deaminase, an enzyme in the heme synthesis pathway that converts porphobilinogen to hydroxymethylbilane. It presents with abdominal pain, neurological symptoms, psychiatric symptoms, and port wine-colored urine.

Bullet Summary:
Thrombotic thrombocytopenic purpura is caused by a defect in ADAMTS13, a metalloproteinase that cleaves vWF multimers into vWF monomers.

ILLUSTRATIONS:
REFERENCES (1)
Authors
Rating
Please Rate Question Quality

5.0

  • star icon star icon star icon
  • star icon star icon star icon
  • star icon star icon star icon
  • star icon star icon star icon
  • star icon star icon star icon

(1)