Please confirm topic selection

Are you sure you want to trigger topic in your Anconeus AI algorithm?

Please confirm action

You are done for today with this topic.

Would you like to start learning session with this topic items scheduled for future?

Review Question - QID 221257

In scope icon N/A
QID 221257 (Type "221257" in App Search)
A 14-year-old girl presents to her pediatrician with a 3-month history of heavy vaginal bleeding. She first started getting her period at age 13, but it has been irregular and variable in nature. Over the last 3 months she has been having frequent periods about every 20 days, each of which has lasted 6-8 days and has caused her to bleed through a regular menstrual pad every 3 hours for the first few days. Her last menstrual period began 2 weeks ago. She endorses fatigue but does not have bruising, epistaxis, or excessive bleeding with dental work. She does not have a significant medical or surgical history and takes no medications. She denies being sexually active. Her temperature is 98.6°F (37.0°C), blood pressure is 104/76 mmHg, pulse is 88/min, and respirations are 16/min. A peripheral blood smear is obtained, and the results are shown in Figure A. Laboratory values are as follows:

Hemoglobin: 10.5 g/dL
Mean corpuscular volume: 74 um^3
Leukocyte count: 6,000/mm^3 with normal differential
Platelet count: 250,000/mm^3
Ferritin: 9 ng/mL
Prothrombin time: 14 seconds
Partial thromboplastin time (activated): 33 seconds
Urine human chorionic gonadotropin (ß-hCG): Negative
Von Willebrand factor antigen: Normal
Von Willebrand factor activity: Normal

In addition to iron supplementation, which of the following is the most appropriate next step in management for this patient?
  • A

Endometrial biopsy

0%

0/0

High dose estrogen

0%

0/0

Hysteroscopy

0%

0/0

Progestin-only oral contraceptive pills

0%

0/0

Tranexamic acid

0%

0/0

  • A

Select Answer to see Preferred Response

This patient who presents with metrorrhagia, menorrhagia, fatigue, and a negative urine pregnancy test most likely has abnormal uterine bleeding due to anovulation. This condition is typically treated with iron supplementation and combined oral contraceptive pills.

Abnormal uterine bleeding (AUB) involves uterine bleeding that has an atypical duration, volume, or frequency and is common among adolescents. Heavy menstrual bleeding can be caused by structural causes such as polyps, adenomyosis, leiomyoma, or malignancy, as well as bleeding disorders, ovulatory dysfunction, endometrial conditions, or iatrogenic causes. The most common cause of AUB and heavy menstrual bleeding in adolescents is anovulatory cycles caused by an immature endocrine axis, followed by coagulopathy. Another potential cause is pregnancy thus pregnancy must be ruled out in all cases. First-line treatment involves combined oral contraceptive pills to regrow the endometrium and stop the bleeding. Pills containing estrogen are preferred as they provide better hemostasis. If patients have contraindications to estrogen-containing pills, they may be placed on progestin-only oral contraceptive pills. If patients have contraindications to hormonal therapy or have bleeding refractory to treatment, tranexamic acid may be used.

Marnach et al. reviewed the evaluation and management of abnormal uterine bleeding. They found that standardization of nomenclature, classification, and diagnostic evaluation of AUB has improved patient access to appropriate treatments. The authors recommend that primary care physicians utilize the International Federation of Gynecology and Obstetrics System 2 to systematically evaluate AUB etiology.

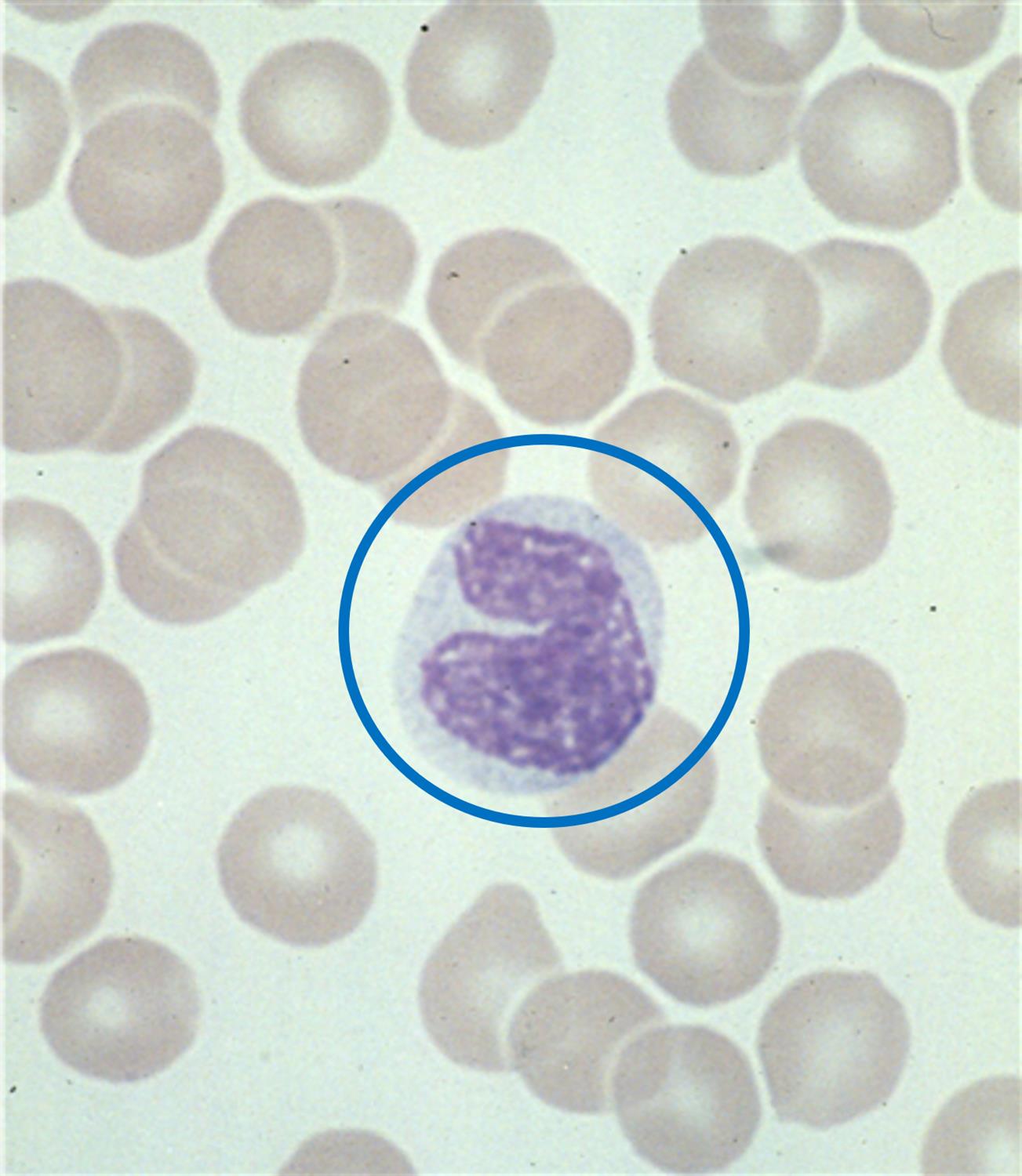
Figure/Illustration A is a peripheral blood smear showing a normal appearing erythrocyte and a monocyte (blue circle). These findings indicate that the patient likely does not have a hereditary cause of anemia.

Incorrect Answers:
Answer 1: Endometrial biopsy is performed to evaluate patients with AUB, infertility, or concern for malignancy. It is an invasive procedure that should not be used in an adolescent patient with AUB unless initial treatment has failed, as the overwhelming majority of adolescent AUB within 3 years of menarche is benign.

Answer 3: Hysteroscopy involves assessing the uterus via a camera. It can be helpful to identify structural causes of AUB. Structural causes of AUB are rare in adolescents, and treatment addressing anovulation should be pursued first.

Answer 4: Progestin-only oral contraceptive pills can be used as a therapy for AUB in adolescents with contraindications to estrogen-containing medications, such as thromboembolic disease, liver disease, or migraines. Combined oral contraceptive pills containing estrogen are most effective and should be trialed first in patients without contraindications.

Answer 5: Tranexamic acid is a hemostatic agent that may be used for excessive bleeding that does not resolve with high-dose combined oral contraceptives.

Bullet Summary:
Abnormal uterine bleeding in adolescents is most often caused by anovulation associated with an immature hypothalamic-pituitary-ovarian axis and should be treated with combined oral contraceptive pills initially.

ILLUSTRATIONS:
REFERENCES (1)
Authors
Rating
Please Rate Question Quality

0.0

  • star icon star icon star icon
  • star icon star icon star icon
  • star icon star icon star icon
  • star icon star icon star icon
  • star icon star icon star icon

(0)