Please confirm topic selection

Are you sure you want to trigger topic in your Anconeus AI algorithm?

Please confirm action

You are done for today with this topic.

Would you like to start learning session with this topic items scheduled for future?

Review Question - QID 221241

QID 221241 (Type "221241" in App Search)
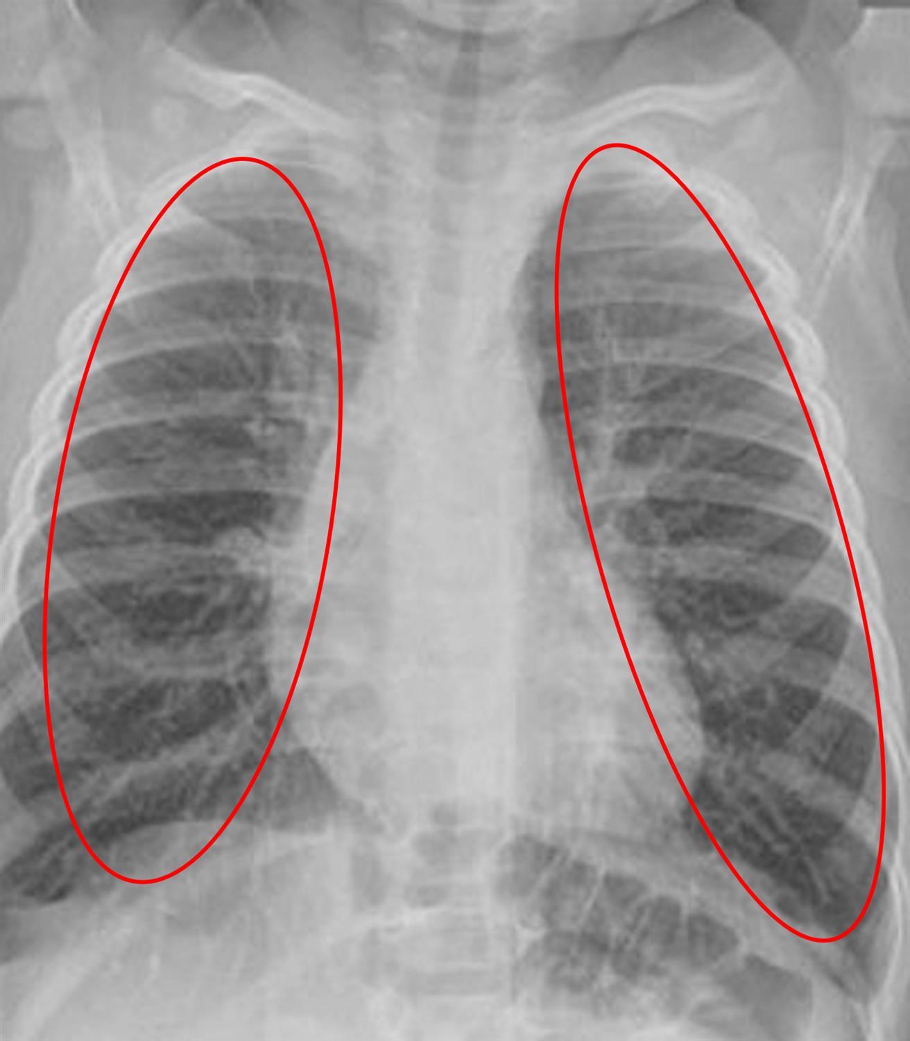
A 5-month-old boy is brought to the emergency department by his parents with a 2-day history of fever. His parents say that they initially treated him with acetaminophen at home; however, they became concerned when he started having difficulty breathing over the last few hours. During the past 3 months, the patient has had several upper respiratory tract infections and poor weight gain. The mother’s pregnancy and delivery were uncomplicated, and the infant’s immunizations are up-to-date. The patient is breastfed, but the mother notes he is eating less lately. His temperature is 101.4°F (38°C), blood pressure is 80/50 mmHg, pulse is 150/min, and respirations are 50/min. Pulse oximetry shows an oxygen saturation of 85% on room air. Physical exam reveals a child in respiratory distress. Crackles are heard diffusely in both lung fields. A chest radiograph is obtained, and the results are shown in Figure A. Laboratory results are notable for the following:

Immunoglobulin A (IgA): 32 mg/dL (normal: 76-390 mg/dL)
Immunoglobulin G (IgG): 125 mg/dL (normal: 650-1500 mg/dL)
Immunoglobulin M (IgM): 450 mg/dL (normal: 40-345 mg/dL)

Which of the following is the most likely cause of this patient’s condition?
  • A

Defective CD40 ligand

0%

0/0

Defective common gamma chain in interleukin-2 receptor

0%

0/0

Defective nicotinamide adenine dinucleotide phosphate oxidase

0%

0/0

Mutation in the ataxia-telangiectasia mutated gene

0%

0/0

Mutation in the Bruton tyrosine kinase gene52

0%

0/0

  • A

Select Answer to see Preferred Response

This patient who presents with failure to thrive, recurrent upper respiratory tract infections, low IgA and IgG levels, and elevated IgM levels most likely has hyper IgM syndrome. This disease is caused by a defect in the CD40 ligand.

Hyper-IgM syndrome most commonly occurs due to an X-linked mutation in the CD40 ligand on Th1 cells. This renders T-cells unable to signal B-cells to switch IgM production to other types of immunoglobulins. This results in decreased IgA, IgG, and IgE levels, as well as overall decreased humoral immunity. The CD40 ligand is also necessary for the maturation of T-cells, dendritic cells, and macrophages. Thus, a mutation in the receptor leads to impairments in cell-mediated immunity as well. Patients typically present in early infancy with failure to thrive and recurrent sinopulmonary infections often with P. jirovecii. Patients can also have gastrointestinal infections. The diagnosis is made with laboratory studies, which typically demonstrate low IgG, IgA, and IgE levels along with increased IgM levels. Treatment can involve prophylactic antibody therapy, intravenous immunoglobulin therapy, or recombinant human granulocyte-stimulating factor. Stem cell transplantation may be curative.

Ferrua et al. review the outcomes for hematopoietic stem cell transplantation for CD40 ligand deficiency. They discuss that the overall survival rate was 78.2% in the 5 years after HSCT and that survival was greater in patients who received HSCT at younger ages. They recommend early HSCT in patients with CD40L deficiency.

Figure/Illustration A is a chest radiograph demonstrating bilateral ground-glass opacities (red circles). These findings are consistent with pneumocystis jirovecci pneumonia.

Incorrect Answers:
Answer 2: A defective common gamma chain in the interleukin-2 receptor may result in severe combined immunodeficiency disorder (SCID). Patients with SCID may also present with failure to thrive and recurrent and severe bacterial, viral, and fungal infections due to defects in B and T-cell immunity. Patients would present with low levels of all immunoglobulins due to absent B-cells.

Answer 3: Defective nicotinamide adenine dinucleotide phosphate oxidase results in chronic granulomatous disease (CGD) due to impaired oxidative burst in neutrophils and macrophages. Patients may also present in infancy with recurrent sinopulmonary infections, commonly by catalase-positive organisms such as Staphylococcus aureus.

Answer 4: Mutation in the ataxia-telangiectasia mutated gene results in ataxia-telangiectasia. Patients often present with the triad of progressive ataxia, spider angiomas, and IgA deficiency along with recurrent sinopulmonary infections.

Answer 5: Mutation in the Bruton tyrosine kinase (BTK) gene results in X-linked agammaglobulinemia (XLA), which leads to a deficiency of mature B cells and can also result in decreased IgA levels and recurrent sinopulmonary infections. BTK results in humoral immunodeficiency rather than cell-mediated immunodeficiency. Furthermore, patients with XLA rarely present prior to 6 months because infants retain passive immunity through maternal antibodies.

Bullet Summary:
Hyper IgM syndrome is due to an X-linked defect in the CD40 ligand on Th1 cells that inhibits class switching of antibodies and presents with high IgM and low levels of other immunoglobulins.

ILLUSTRATIONS:
REFERENCES (1)
Authors
Rating
Please Rate Question Quality

0.0

  • star icon star icon star icon
  • star icon star icon star icon
  • star icon star icon star icon
  • star icon star icon star icon
  • star icon star icon star icon

(0)